老年人选择装假牙
发布日期:2018-07-27 次浏览
想要具体了解老年人选择装假牙?>>>点击【在线咨询】直接问医生!方便!快捷!随着年龄的不断增长,老年人的牙龈慢慢萎缩,开始出现牙齿脱落的现象,随着口腔医学的发展,老年人选择装假牙来保持咀嚼功能和咬合力度。老年人怎样选择装假牙,医生来为你分析:

一、若是多颗牙缺失选择活动假牙
如果老年人是多颗牙缺失、牙列缺失应选择活动假牙,活动假牙摘带方便,根据个人需求随时摘取清洗,清洁过程清楚可见牙缝间隙不留残渣,晚上睡觉前摘取后,口腔可以得到充分休息,第二天可继续使用。
二、若是单颗牙缺失选择固定假牙
1、镶牙
镶牙是一种传统的牙齿修复方式,固定义齿须先把缺牙区边上的两颗或几颗牙磨小,作为稳固牙套的支柱;活动义齿要做较大基托和金属卡环,感觉不舒服,有异物感。采用镶牙修复,随着年龄增加,上、下牙槽骨严重收缩,可能出现因舌头运动和咀嚼食物时假牙移位或翘动。>>>点这里,直接预约医生!方便快捷!
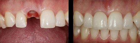
2、种植牙
种植牙:种植牙是一种与天然牙十分相似的牙齿,采用口腔医学方式,将与人体生理相容性极高的人工牙根种植到牙槽骨,并与之产生骨结合,具有很强的固位性和稳定性,可像真牙一样“长”在口腔内,咀嚼功能媲美真牙,其美观度又比自然牙更胜一筹。
医生表示,镶牙和种植牙都可以做单颗牙缺失的修复,但镶牙要磨损两侧的健康牙为代价,种植牙则无需磨牙,对牙齿没有损害,两者相比较应优选种植牙。
三、福州爱尚贝臣口腔门诊部有限公司拥有种植牙新:瑞典Nobel精工即刻种植
福州爱尚贝臣口腔门诊部有限公司引进的瑞典Nobel精工即刻种植将与人体生理相容性极高的种植体(人工牙根)种植到牙槽骨内,并与之产生骨结合,具有很强的固位性和稳定性,手术简单,愈合时间短,使用寿命长,更具高效咀嚼功能,外形可与自然牙相媲美,且光泽度比自然牙更胜一筹,因此,被誉为是“人类的第三副牙齿”也是国际口腔医学界公认的牙齿缺失首选修复方式。【立即咨询】
专家提示:
老年人装假牙要根据自己牙齿条件和口腔条件来确定,以上只是对于老年人装假牙的笼统概括,在医生没有见到患者本人时,不能给出非常明确的答复,如想恢复牙齿功能和口腔功能请马上到口腔医院现场咨询后再做决定,不能盲目就医。还有不明白的,点击免费咨询,或者拨打24小时贝臣美牙热线0591-88681777咨询,福州爱尚贝臣口腔门诊部有限公司医生为您解答!

