隐形矫正要多少钱的呢
发布日期:2018-06-24 次浏览
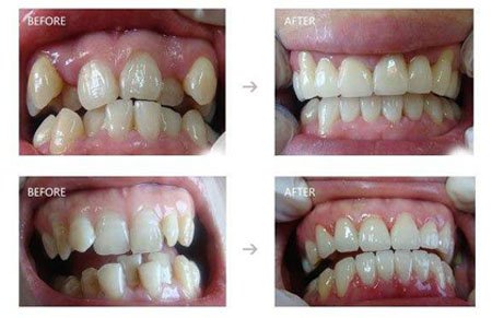
想要具体了解隐形矫正要多少钱的呢?>>>点击【在线咨询】直接问医生!方便!快捷!对于牙齿不齐的人来说,正常的微笑都是一种奢侈。牙齿不齐要承受别人异样的眼光,要面对内心的自卑。这个时候 好的解决办法就是做牙齿矫正了,牙齿矫正可以改变人们牙齿排列情况以恢复正常的咀嚼功能。
牙齿矫正的方法有很多种,以往我们常用的就是传统的钢丝矫正,因为不够美观逐渐被隐形正畸所替代。隐形正畸能够摆脱传统矫正的种种弊端,让患者轻轻松松让牙齿得到改善,变得整齐美观。那么,隐形正畸要多少钱呢?我们来看看专家的相关介绍:

隐形正畸要多少钱
1、患者个人口腔情况不同所需的费用也会不同,很多患者的口腔情况不好,还要进行步的牙齿正畸。
2、不同材质其机械性能、物理性能、化学性能、生物相容性、美观性等都有很大区别。当然也包括印模材料、模型材料、临时牙材料等都是不一样的,价格自然也不同。>>>点这里,直接预约医生!方便快捷!
3、每一家口腔医院对于隐形矫正的收费都是不一样的,不同的地区消费有差异价格也会随着有变动,大型医院的费用肯定比小诊所的费用要高很多,因为大型医院不论是硬件设备还是水平等软件条件都是一些小诊所无法比拟的。
专家推荐—隐适美隐形矫正
福州爱尚贝臣口腔门诊部有限公司引进的美国Invisalign隐适美无托槽隐形矫正替代传统牙套,该透明、舒适,近乎隐形,甚至没有人知道你在矫正牙齿,而且相对于金属牙套使用弓丝和托槽矫正牙,美国Invisalign隐适美无托槽隐形矫正通过一系列透明的、可自行摘戴的无托槽隐形矫正器矫正牙齿,矫正期间不使用牙套和托槽的金属弓丝。【立即咨询】
专家提醒大家,牙齿矫正的年龄是12岁左右,家长发现孩子牙齿有不齐的情况要及时进行矫正,越早矫正效果也越好。对于成年人来说,虽然过了 佳矫正时机,但是也是可以矫正的,选择适合的矫正方式同样可以得到很好的矫正效果。

【金牌标准·权威保障】
福州爱尚贝臣口腔门诊部有限公司拥有国际JCI医疗品质保障体系,16项国际口腔安全金标准:品牌安全保障、资质安全保障、质量安全保障、专家安全保障、设备安全保障、安全保障、材料安全保障、手术安全保障、环境安全保障、价格安全保障、应急安全保障、事故安全保障、隐患安全保障、服务安全保障、隐私安全保障、术后安全保障,让每一位就诊顾客都能获得安心保障。还有不明白的,点击免费咨询,或者拨打24小时贝臣美牙热线0591-88681777咨询,福州爱尚贝臣口腔门诊部有限公司医生为您解答!

