门牙前突怎么办
发布日期:2018-06-02 次浏览
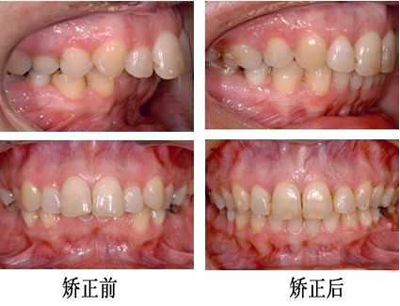
想要具体了解门牙前突怎么办?>>>点击【在线咨询】直接问医生!方便!快捷!"牙齿前突纠正上牙齿前突能否矫正?上牙前突,想做隐适美隐形矫正,不知道我的牙能不能做?"网友在福州爱尚贝臣口腔门诊部有限公司网上提出了这样的问题,针对网友提出的问题,专家做出了回答。【在线咨询牙齿外凸治疗多少钱】

牙齿前突纠正上牙齿前突能否矫正
专家解释,牙齿突出于正常的范围之外就叫做牙齿前突,属于很常见的一种牙齿不齐的口腔疑难,患者在闭合时会有一定的影响,容易露出牙齿。【关于龅牙我想了解更多】
牙齿前突的不良影响:
可能现在还有不少的人不知道什么是牙齿前突,专家说,平时大家学说的“龅牙”在医学叫做牙齿前突,当突得很严重时会引起口 闭唇困难,不但不舒服还影响面部美观。 牙齿前突患者有可能因为牙齿前突干扰到正常的咀嚼,从而使患者产生营养不良等症。【我有龅牙,我要矫正】

牙齿前突怎么矫正:
牙齿前突矫正的方法是什么呢?很多有着牙齿前突的朋友都很苦恼,不知道如何矫正。对此,专家指出,牙齿前途可以选择矫正器来进行矫正,矫正器主要分为以下几种:
(1)传统正畸术:金属托槽表面光滑,体积小巧,结实耐用,槽沟准确,制作精良,有助于牙齿的完美排列,托槽边缘特有的圆润化处理减少了对口腔黏膜的不良刺激。传统正畸术属于经济实惠型。【在线咨询牙齿矫正多少钱】
(2)半隐形矫正:半隐形矫正所使用的托槽近乎透明,粘在牙齿上隐蔽性较好, 使矫治过程能够悄然完成。其优势在于美观的视觉效果, 陶瓷的晶粒越大,透明性越好,也解决了传统“铁齿铜牙”的形象问题。
(3)隐形正畸:隐形正畸是欧洲齿科材料的巅峰之作,采用高弹性纳米材料分子,完全透明隐形,隐蔽性极好,且可以自行摘带矫正器,方便清洁,矫治疗程缩短将近三分之一的时间。【隐形矫正好吗】
牙齿前突矫正使用什么方法好:
专家介绍说现如今 好的前突牙齿矫正方法是隐形矫治,免去“铁齿铜牙”尴尬,从根本上解决了牙齿畸形,一次性完全矫正好牙齿前突的问题,长期保持效果不复发。还有不明白的,点击免费咨询,或者拨打24小时贝臣美牙热线0591-88681777咨询,福州爱尚贝臣口腔门诊部有限公司医生为您解答!
