牙齿矫正医院哪家好
发布日期:2018-06-02 次浏览
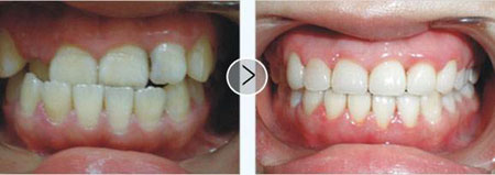
想要具体了解牙齿矫正医院哪家好?>>>点击【在线咨询】直接问医生!方便!快捷!当我们走在大街上还是可以看到有很多的人是畸形牙,牙齿不整齐,尤其是成年人,是他们不知道矫正吗?当然不是,而是随着时间的推挤,他们错过了矫正时期。那么矫正的话福州牙齿矫正医院哪家好呢?

选择矫正牙齿医院需注意五点
1、医院的服务:一个医院服务决定了治疗效果的好坏,如果服务不到位,中间会产生很多医患纠纷,所以我们在选择一家医院时,一定要先看看医院整体服务怎么样,这样才能放心治疗。
2、医院的专家:做牙齿矫正有一个比较长期的过程,比如一些小门诊,经常换医生,这样不但我们矫正不能顺利完成,后期护理也很麻烦,所以这个也是我们需要考虑的。而一般大型的口腔医院,聘请的都是国际知名矫正专家,所以效果也有保障。>>>点这里,直接预约医生!方便快捷!
3、矫正:每个医院矫正牙齿的不一样,医生会根据自己的情况制定相应的矫正方案,所以在做矫正之前一定要和医生沟通好,这样做了以后才不会后悔。
4、治疗费用:很多医院在给患者做牙齿矫正的时候,没有说明整个矫正需要的费用,这就需要我们提前咨询医生,每个矫正阶段所需要的检查项目和费用,这样我们心里才有数,以免被黑。
福州爱尚贝臣口腔门诊部有限公司,符合您的选择条件
福州爱尚贝臣口腔门诊部有限公司拥有国际顶尖的齿科诊疗和设备,德国精工种植牙、德国四维隐形矫正、德国仿生美容冠、德国炫彩美白、德国显微超薄贴面、德国树脂充填、德国射频牙周治疗等核心项目;在设备上拥有德国西诺德全套牙科系统,普兰梅卡全景内窥镜系统、口腔综合诊疗系统、X影像诊断系统、器械与消毒系统、进口无痛麻醉系统等;在材料上拥有德国费亚丹、德国贝格、瑞典诺贝尔、瑞士ITI、美国3I、韩国奥齿泰、美国百康等国际领先材料,为广大爱牙人士提供更多人性化选择。【立即咨询】

福州爱尚贝臣口腔门诊部有限公司隐形矫正5大优势
1、美观大方,不影响工作生活:全透明超薄牙套定制,佩戴方便,丝毫不影响正常工作社交。
2、颌面重塑,效果不反弹:隐形牙齿矫正并非只是排齐牙齿,更重要的是对您的整个颌面进行重塑,根据您的年龄、骨发育速度等因素综合得出您佩戴保持器的时间,确保矫正效果不反弹。
3、缩短1/3矫正时间:隐形正畸精确的计算出每颗牙需要的力度、角度、以及时间,让每一步移动分毫不差,从而缩短了至少1/3传统矫正的时间。
4、预知拔牙效果,拔牙率低:智能矫正管理系统将生成拔牙前后的矫正效果3D模拟图,顾客可以直观的看见拔牙前后的矫正效果,避免盲目拔牙带来的牙缺失,大大降低拔牙率。
5、安全舒适:正因为隐形牙齿矫正精确的计算出每颗牙需要的力度、角度及时间,避免了不必要的牙齿移动造成的额外挤压以及痛感,让您拥有一个舒适的矫正体验。

