牙齿矫正要多少的钱
发布日期:2018-05-23 次浏览
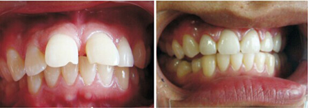
想要具体了解牙齿矫正要多少的钱?>>>点击【在线咨询】直接问医生!方便!快捷!牙齿不美观不齐,有缝隙,突出,龅牙等等,都可以通过矫正的,牙齿矫正是目前比较乐观的喜爱方式,矫正后牙齿美观整齐,自信自然满满,不仅人变的有精神了而且面貌也会有变化。那么牙齿矫正多少钱呢。

牙齿矫正器种类不同则费用也不相同
专家介绍矫正多少钱主要是根据您牙齿的情况,来选择适合您口腔情况的矫正方式,及选择材料决定的,矫正的方式很多,目前主要有两大类,一类是金属矫正器,一类是隐形矫正器。【立即咨询】
隐形矫正面对面都看不到的矫正器
专家介绍说如果做的是隐形矫正,那么即使你和好友在面对面的进行交流,别人也看不出你是在做矫正,因为矫正具有隐形、美观、容易摘戴等优点,深受患者的喜爱。
一、美观:隐形矫治器具有透明、舒且可摘戴的优点。矫治器是透明的,不易被人察觉,患者还可以在一些重要的私人或公开场所戴用它。
二、舒适:隐形矫治器是比较舒适的,因为隐形矫治器不像托槽弓丝那样会刺激颊粘膜和周围软组织。>>>点这里,直接预约医生!方便快捷!
三、方便:可自行摘戴,不影响社交、进食、运动等。同时复诊次数减少,节约您的宝贵时间。
四、清洁:隐形矫治的可摘性会妨碍口腔卫生的防护,因此极少出现卫生不良的状况。
【贝臣牙科:阳光收费 放心就诊】
收费不仅是医患关系的核心,更彰显了一家医院是否真心实意地为百姓服务,凸显诚信问题。在收费方面,一些医院似乎总是遮遮掩掩,让患者“雾里看花”,贝臣牙科医院作为高端的口腔服务行业领先品牌,敢于直面尖锐的问题,率先建立完善的收费制度,真正做到透明收费,让百姓放心就诊的同时,为自己赢得了珍贵的口碑。还有不明白的,点击免费咨询,或者拨打24小时贝臣美牙热线0591-88681777咨询,福州爱尚贝臣口腔门诊部有限公司医生为您解答!

