为什么儿童会出现牙齿稀疏
发布日期:2018-05-16 次浏览
想要具体了解为什么儿童会出现牙齿稀疏?>>>点击【在线咨询】直接问医生!方便!快捷!都说孩子是祖国的花朵,更是父母的掌上明珠,每一位父母都是希望自己的孩子在各方面都可以出类拔萃。如果一旦遇上孩子的牙齿出现稀疏的问题,可把望子成龙,望女成凤的爸爸、妈妈给急坏了,担心会影响到以后孩子的未来发展。因此,父母总会寻找孩子牙齿稀疏的原因所在。

为什么儿童会出现牙齿稀疏?专家指出下面几个原因:
1、乳牙稀疏有缝又叫生理间隙,这些间隙的存在,对于较大的恒牙萌出后排齐是有利的。这种情况多见于儿童的替牙时期,常见于6一9岁之间,是一种暂时性的错合畸形,在牙齿替换完成并建立了新的咬合关系后,多可恢复正常。>>>点这里,直接预约医生!方便快捷!
2、替牙时,两个上门牙间有缝隙,这是替牙过程中的一种暂时现象。随着恒侧切牙、尖牙的萌出,间隙逐渐减小到完全自然消失但是当上门牙间的缝隙较大时,需要请医生检查是否有多生牙存在。
3、恒牙的稀疏有缝,一种是恒牙的形态较小如锥形牙或过小牙。另一种是恒牙有先天性缺牙,都可以到我院通过正畸或修复的方法来关闭缝隙。【立即咨询】
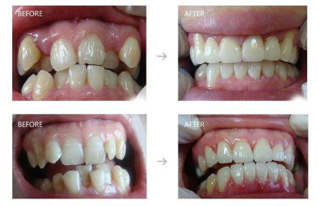
有孩子的朋友要慎重留意,帮助孩子预防牙齿稀疏。如果您的孩子已经换上牙齿稀疏的疾病,为您推荐时代天使隐形矫正。
时代天使隐形矫治采用计算机辅助三维诊断、设计、制作等系统和新口腔正畸,为您度身定做一系列透明矫治器,只需每2周更换一副,就可以让原来的"老虎牙"、"龅牙"等令您难堪的牙齿在不被人发觉的情况下得到彻底的矫正和改观。
【福州爱尚贝臣口腔门诊部有限公司 精工典范】
1、品质保证:德国齿科精工,百年传承,行业领袖,专注严谨只为品质;
2、核心宗旨:一切以品质为先,给予高规格的齿科服务,价值超出预期
3、专人专项:把每一项美齿做到极致,让每一位顾客尊享私人化定制;
4、精准:种植成功标准、美牙美学标准,顾客体验标准独家首创不可复制;
5、超值体验:皇家式服务,豪而不贵价格体系,为每位顾客带来满意尊崇体验。
汇聚了来自德、意、英、美、韩、中国台湾等世界各国经验丰富的专家,引进全球顶尖的德国西诺德牙床、普兰梅卡全景等全套口腔诊疗系统,让爱牙人士不出国门享受国际顶尖齿科服务。还有不明白的,点击免费咨询,或者拨打24小时贝臣美牙热线0591-88681777咨询,福州爱尚贝臣口腔门诊部有限公司医生为您解答!

