牙齿缝隙大有哪些危害
发布日期:2018-05-09 次浏览
想要具体了解牙齿缝隙大有哪些危害?>>>点击【在线咨询】直接问医生!方便!快捷!拥有一口健康的牙齿是每个人都想要的,但是并不是每个人都能美梦成真的,很多人都有吃东西塞牙缝的问题,很多时候大家都会选择一个牙签帮助我们解决这种问题,但是要是长时间这样下去只会增大我们的牙齿缝隙。
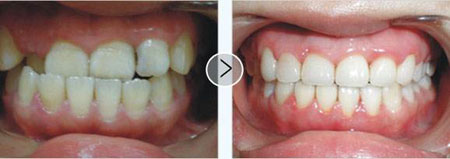
牙齿缝隙大有哪些危害?牙齿稀疏,也可称为牙列稀疏,是常见牙齿健康问题,牙齿稀疏的临床表现为牙齿相互之间出现较大的缝隙,主要是不良习惯或者牙周病所致的牙齿唇倾; 先天性失牙,过小牙以及遗传因素所致。此外拔牙后不镶牙,引起近远中邻牙移位而产生间隙。

1、影响容貌美观。严重前牙稀疏者会引起面部不协调,以致影响面容的美观。使选择职业,社会交际等受到影响。有的儿童思想负担沉重、有自卑感。
2、影响全身健康。前牙稀疏使咀嚼功能降低。食物咀嚼不充分。会增加胃肠的负担,时间长了会引起消化不良或胃肠疾病,影响营养的吸收,有损身体健康。
3、影响口腔正常功能。降低咀嚼功能,影响发音功能,使有些音发不准确。
4、对口腔健康有害。稀疏的牙齿常常咬合不正常,使面部肌肉容易疲劳,还可引起颞下颌关节疾病,使张闭口时关节发出弹响声,时间久了还会引起疼痛等症状。
安全至上 贝臣选材三大原则
1、要质量 不要数量
福州爱尚贝臣口腔门诊部有限公司不惜成本引入进口材料,旨在“要质量,不要数量”,只要能给患者带来有效的治疗,贝臣认为这是值得的。
2、要精品 不要伪劣品
福州爱尚贝臣口腔门诊部有限公司的材料,经国家相关部门认证,直接由独立的数字化义齿加工厂提供,避免了由国内小型加工厂的以次充好现象发生。>>>点这里,直接预约医生!方便快捷!
3、要安全 不要侥幸
选用临床案例丰富的材料,保证用材的安全,不心存侥幸,给患者带来的保障。
牙齿缝隙过大多是天生的,如果患有有症状,应该及时到专业的口腔医疗机构检查和治疗,避免牙齿稀疏对健康造成危害。还有不明白的,点击免费咨询,或者拨打24小时贝臣美牙热线0591-88681777咨询,福州爱尚贝臣口腔门诊部有限公司医生为您解答!

