牙齿矫正的时间是什么时候
发布日期:2018-08-08 次浏览
想要具体了解牙齿矫正的时间是什么时候?>>>点击【在线咨询】直接问医生!方便!快捷!不管做什么选择时间是很重要的,就如常说的“天时地利”一样,而矫正牙齿也要讲究“天时地利”。只有时间进行牙齿矫正效果才会好,那么牙齿矫正的时间是什么时候呢?

专家表示一般牙齿矫正时间分为三个阶段:
1、乳牙期:一般是患者3-6岁左右。此时矫治的目的,主要是为了预防儿童面部的正反颌、下颌前突、后牙反颌,以及一些防碍面部正常发肓的不良口腔习惯等,通常都可以获得不错的修复效果。
2、替牙期:一般是患者6-12岁左右。此期一些患者的牙齿,可能会出现局部的牙列不齐,通常对于一些早期的前牙反颌、下颌功能性后缩,以及各种上下牙间关系异常的,都需要及时通过早期矫正予以修复。>>>点这里,直接预约医生!方便快捷!
3、恒牙期:一般是患者12岁以上。由于12岁左右恒牙列开始逐渐形成,此时一旦出现牙列不齐均不会自动消失,只能通过口腔正畸治疗予以纠正。由于此时患者的牙齿正处于高速发育阶段,因而此时也是患者牙列不齐矫治的时期,通常对于各种牙列不齐的患者,都可以在这段时间进行矫治。
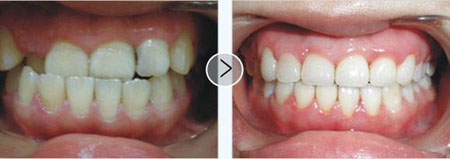
正确的矫正与正确的矫正时间一样重要。隐适美隐形矫正,来自美国的进口"隐形牙箍",不用钢丝、不用托槽,丝毫不影响美观,可自行摘带,让患者在不知不觉中恢复正常颌面形态。隐适美还具有隐形美观、摘戴方便、卫生省时等优势。
提醒:口腔问题不只影响我们的容貌,更有可能影响全身健康。为了您和家人的健康,一旦发现口腔问题应该及时到专业的口腔医院就医。还有不明白的,点击免费咨询,或者拨打24小时贝臣美牙热线0591-88681777咨询,福州爱尚贝臣口腔门诊部有限公司医生为您解答!

