为什么牙缝越来越大
发布日期:2018-04-29 次浏览
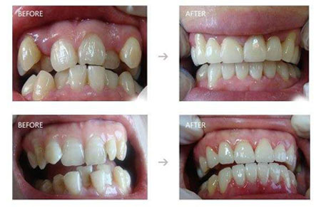
想要具体了解为什么牙缝越来越大?>>>点击【在线咨询】直接问医生!方便!快捷!牙齿之间的小缝隙如果不治疗会有什么后果呢?牙齿稀疏是比较常见的牙齿畸形疾病,有些人觉得牙齿稀疏的程度不大,就不用去治疗了,牙齿间的小缝隙也不会导致危害出现的。其实这样的想法是错误的,牙齿间的小缝隙也会变大的,到时候不仅影响到你的个人形象,还影响到你说话不清楚的情况。
为什么牙齿间的缝隙会变大呢?专家说:牙缝越来越大,要留意是否牙龈萎缩,多数牙龈萎缩都是由牙周炎引起的。牙周炎的症状包括:牙龈出血、牙龈颜色异常(深红发紫)、牙石较多、口腔异味、牙齿变长、牙根露出等。如果出现上述多个症状,则可判断为牙周炎引起的牙龈萎缩,导致牙缝加大。

牙齿缝隙过大,影响有多严重?
1、影响整体容貌形象。严重的前牙稀疏会引起整个面部的不协调,以致影响面容形象的美观。在择业和社会交际等方面也容易受到影响;
2、影响全身健康。前牙稀疏使咀嚼功能降低。食物咀嚼不充分。会增加肠胃的负担,时间长了会引起消化不良或肠胃疾病,影响营养的吸收,终有损身体健康;
3、影响口腔正常功能。前牙稀疏不仅会影响咀嚼功用,还会影响发音功能,使有些音发不准确;严重下颌后缩能影响正常呼吸,严重下颌前突可造成吞咽异常;
4、对口腔健康有害。稀疏的牙齿常常咬合不正常,容易引起异常情况,使面部肌肉容易疲劳,还可引起颞下颌关节疾病,使张闭口时关节发出弹响声,时间久了还会引起疼痛等症状;
5、影响心理健康。如果对自己的牙齿外观形态不满意,有些朋友可能会产生消极心理,通过消极面对社会或损害自己的自尊心来安慰自己。
牙齿稀疏矫正的方法:
全透明隐形正畸是很美观的,而且几乎完全隐形。患者将在别人毫无察觉中完成牙齿矫正,解决了许多患者对矫正牙齿的美观顾虑。全透明隐形正畸很舒适,由于没有传统意义上的托槽、钢丝等矫正装置,矫正过程不再痛苦。对牙周组织的刺激及不适感低。
全透明隐形正畸比较方便,因为可自行摘戴,不影响社交、进食、运动等。同时复诊次数减少,节约患者的宝贵时间。全透明隐形正畸的清洁很方便,口腔卫生容易维护,托槽容易拆卸,所以很容易清洁,也不必担心牙龈炎、牙齿脱矿、变色等问题。全透明隐形正畸的矫正过程很便捷,短而有效的治疗疗程,一般治疗约9-12月即可完成。>>>点这里,直接预约医生!方便快捷!
福州爱尚贝臣口腔门诊部有限公司为何会获得市民的一致认可?
市民为什么都选择福州爱尚贝臣口腔门诊部有限公司做种植牙呢?大大小小知名的齿科机构或者门诊虽称不上不计其数,但也有几家年限比较久的,福州爱尚贝臣口腔门诊部有限公司落户不久,以其怎样的优势脱颖而出,从而获取广大市民的信赖的呢?
1、成熟的医疗服务系统
福州爱尚贝臣口腔门诊部有限公司经过多年的经营和发展,集团在中国拥有福州、成都、等数家齿科连锁机构,力求打造中国齿科连锁品牌。
2、拥有完善的医疗设备,获取好的治疗效果的有力保障。
福州爱尚贝臣口腔门诊部有限公司引进德国 的诊疗设备,齿科医疗服务事业的发展。以高标准、高品质的医疗服务,为您塑造一个全新的齿科健康会所。让您在国内就能享受到来自优质医疗服务!
3、资历的医术。
福州爱尚贝臣口腔门诊部有限公司的种植牙医生均毕业于各大知名院校,临床经验丰富,能熟练应用上颌窦内、外提升植骨术,及高难度的种植牙手术

