单颗种植牙需要多少钱
发布日期:2018-04-21 次浏览
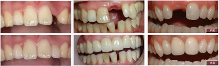
想要具体了解单颗种植牙需要多少钱?>>>点击【在线咨询】直接问医生!方便!快捷!种植牙现在在国内受到热捧,很多想为老人尽孝心的儿女都选择为父母做种植牙,那么一个问题就是,种植牙多少钱一颗?我们肯定要把这个情况了解清楚。【在线咨询种植牙价格】

种植牙多少钱一颗?
专家介绍表示种植牙的费用由种植体、牙冠、基台等费用组成,其中占费用比例比较大的有以下两种:
1、种植体: 种植牙不同于别的,有很多种植体,具体的价格要根据种植体的价格多少来确定,而选择种植体又要根据个人的情况,所以这是影响价格的因素之一。
2、牙冠,有烤瓷、全瓷等。顾客可根据自己的牙齿情况和经济条件选择 适合自己的,材料不同,则价格也不相同。【在线咨询拔牙后多久可以种牙】
【省时 省钱 就选即刻种植牙】
即刻种植牙,针对各种缺失牙的情况,即刻种植,即拔即种,更有利于防止牙槽骨吸收,不伤邻牙,更好地恢复牙齿的咀嚼功能。仅需10分钟即可将种植 体植入,从此让您告别缺牙,即刻种植牙不仅省时而且还省钱,如果是全口牙缺失上下颌各需要植入4颗或者8颗即可修复全口牙齿。
即刻种植牙三大优势:
1、修复时间短:拔牙后即刻种植,与传统种植牙修复相比,可大幅缩短顾客拔牙后的等待时间,进而也节省了多次就诊的费用。
2、咀嚼功能强:与真牙的力学原理相似,能很好地恢复牙齿功能,咀嚼功能大大优于其他传统假牙。【即刻种植牙多少钱?马上咨询】
3、稳固性好,舒适方便:人工牙根牙槽骨紧密结合,像真牙一样扎根在口腔里,具有很强的固位力与稳定性,非常舒适,没有异物感。

