地包天都有哪些症状呢
发布日期:2018-04-12 次浏览
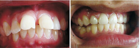
现在很多孩子都患有口腔疾病,现在孩子患有地包天的有很多。专家说,地包天影响患者的发音。反(牙合)时由于舌体与所占空间发生改变,上下颌闭合受影响。因此,可能造成发音不清的现象,从而影响了学习与交际。那么,地包天有哪些症状呢?下面就这个问题来听听专家的讲解吧!>>>点击免费咨询,或者 拨打24小时美牙热线0591-88681777免费咨询,福州爱尚贝臣口腔门诊部有限公司医生为您解答!
以下是专家介绍的地包天的症状:
1、功能性下颌过度前伸或前突和前牙反合,但其下颌形态和大小基本正常,下颌可后退至前牙对合或浅覆合关系。
2、牙源性常表现为单纯的前牙反合,反覆盖小,磨牙关系为中性或开始近中关系。下颌的形态、大小基本正常,上下颌骨关系无明显异常,颏部不前突或显前突,颜面基本正常。下颌可自行后退至前牙对刃关系。
3、骨源性前牙反合,反覆盖大。磨牙为近中错合;并伴有颌骨畸形,可表现为下颌角钝,下颌体长,下颌不短,上颌前部发育不足,颏部明显前突,下颌常常不能自行后退,颜面多呈凹面形。有时还伴有开合畸形。
推荐:3M隐形牙齿正畸三大优势让牙齿矫正变得更安全更完美。
第一、矫治过程更美观:一般情况下,牙齿矫正的佳时期是12到18岁。然而,很多成人患者错过了佳的矫治时机,又由于健康、美观、职业和社交的需要,希望自己有一口整齐的牙齿。
第二、安全舒适更省力:3M隐形矫治器是由已通过FOA认证的弹性透明高分子材料制成,安全可靠。其厚度不到1mm,光滑舒适,戴用时不会有明显的异物感,不会对粘膜造成刺激。由于不使用托槽、钢丝等矫正装置,极大地减少了矫正过程的痛苦。>>>文字看累了?点击直接咨询医生吧!
第三、个性化设计更有效:3M隐形正畸继承了传统的牙颌畸形矫治理念,采用完全个性化的设计理念,通过计算机辅助三维诊断,医生还可以在矫治前在计算机上模拟临床上的牙齿移动方式,逐步达到矫治目标,也让患者更清楚地感受到矫治后的完美形象,从而实现了错颌畸形矫治模拟过程及结果的三维可视化。
上述为大家介绍的是关于“地包天都有哪些症状”的具体内容,相信大家在读完后一定有了进一步的了解吧!目前,在地包天牙齿整形方面,很多人都热衷于仿生美容修复牙齿美容。据了解,该项打破传统烤瓷牙的繁琐程序,运用计算机辅助设计和制作,仅七天创造即刻美牙的奇迹!还有不明白的,点击免费咨询,或者拨打24小时贝臣美牙热线0591-88681777咨询,福州爱尚贝臣口腔门诊部有限公司医生为您解答!


