地包天有危害吗
发布日期:2018-04-08 次浏览
地包天是黄色人种常见的口腔畸形症状,相信大家都有患地包天的朋友。小编身边就有一位患地包天的朋友,已经三十多岁的他有车有房,却还没有女朋友。究其原因,地包天导致的脸部畸形,成为了他求偶的大阻碍。是的,地包天对人体有许多影响,它不只影响患者的外貌,还会对人体健康会产生危害。下面就让医生来为大家揭秘地包天对健康的危害。>>>点击免费咨询,或者 拨打24小时美牙热线0591-88681777免费咨询,福州爱尚贝臣口腔门诊部有限公司医生为您解答!
地包天有哪些危害呢?
1、地包天会影响美观。地包天使上颌骨的发育旱于下颌骨,如果不尽早的矫正地包天,下前牙就会限制上颌骨的正常发育,下颌骨会过度发育,这样就使畸形牙逐渐的加重。
2、地包天会加重肌肉负担。由于咬合受到影响,由于没有咀嚼力来牙槽骨或整个颌骨,将引起肌肉疲劳、面颊部周围肌肉也会松弛。面部变形及皱纹增多,使得面部疲劳。
3、地包天会加重肠胃负担。肠胃负担过大会影响健康。由于牙齿长的不整齐,或咬合关系的不正常,嚼东西就很不得劲,常常不能把食物嚼碎。
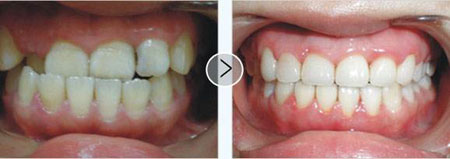
地包天有这么多危害,专家提醒广大患者要及早就医。针对地包天症状,专家建议广大患者选择美国隐适美隐形矫正进行治疗。
隐适美隐形矫正采用美国进口“隐形牙箍”,外表近乎透明,厚度更小于 1mm,戴上去几乎看不出来。能让患者在不知不觉中恢复正常颌面形态。深受广大患者的青睐。还有不明白的,点击免费咨询,或者拨打24小时贝臣美牙热线0591-88681777咨询,福州爱尚贝臣口腔门诊部有限公司医生为您解答!


