瑞士iti种植牙多少钱
发布日期:2018-04-02 次浏览
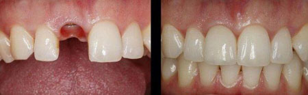
不少饱受假牙之苦的人都想要重新拥有一副健康、给力的牙齿,而种植牙的出现则给予了人们这一希望,其中有着“贵族专享种植体”之称的瑞士ITI则很受缺牙患者的喜爱,那么瑞士ITI价格多少钱呢?下面随小编一起来看一下。>>>点击免费咨询,或者 拨打24小时美牙热线0591-88681777免费咨询,福州爱尚贝臣口腔门诊部有限公司医生为您解答!
微创小切口,轻松解决缺牙烦恼
想到要将种植体“种”入牙槽骨中,许多人不免将种植牙想象成一个比较大的手术,害怕有危险或者痛苦而逃避治疗, 终丧失了佳种植时间。就此,专家指出,瑞士ITI种植牙,其实就是一个比较小的牙槽外科手术,类似于拔牙,切口微小,术后即可进食,整个过程只有几十分钟即可完成。>>>文字看累了?点击直接咨询医生吧!
四级纯钛材料,安全系数更高
另外,瑞士ITI种植材料,是经过精加工的四级纯钛,人体相容性极好,其穿牙龈颈部为杯形贴设计,表面光滑,有利于牙龈颈部组织的附着和结合,舒适性极 佳,且较一般的材料更利于预防牙周软组织的感染,且术后恢复迅速。因此,在接受过专家所操作的瑞士ITI种植牙手术的国内外患者,均表示种植牙是一 种精确、安全系数高的微创手术。
三重稳固性设计,骨“结合”稳定
ITI种植系统是否足够稳定?就这一问题,专家指明,ITI种植系统,是目前国际上公认的极稳定的种植系统。其原理是将钛合金制成的种植体植入到牙槽骨内,在与骨紧密融合后再在“人工牙根”上镶上假牙。
专家值得您信赖
福州爱尚贝臣口腔门诊部有限公司全程由临床经验丰富、精湛的种植专家坐诊,秉承“舒适口腔”发展理念,以“舒适、无痛”为核心,针对患者牙齿缺失的不同情况,进行个性化设计。
福州爱尚贝臣口腔门诊部有限公司自建立以来受到了广大患者的认可,为了满足不同人群的需要,福州爱尚贝臣口腔门诊部有限公司引进大型卡瓦CT、国内外先进的种植系统与先进设备,邀请国际种植专家,为患者提供各种类型的种植诊疗,治疗效果与医护服务赢得 了广大患者的良好评价。还有不明白的,点击免费咨询,或者拨打24小时贝臣美牙热线0591-88681777咨询,福州爱尚贝臣口腔门诊部有限公司医生为您解答!


