矫正地包天需要多少钱
发布日期:2018-03-25 次浏览
很多人由于不良哺乳姿势,乳前牙滞留或早失,上恒切牙先天性缺失,不良习惯、乳尖牙磨耗不足,全身性疾病以及遗传性下颌前突而导致地包天。医学上称之为“前牙反牙合”、“反牙合”,一旦出现地包天,就必须及时进行矫正治疗,否则及其影响美观。治疗地包天多少钱也就成为大家所关注的问题。下面请专家来告诉大家矫正地包天需要多少钱。>>>点击免费咨询,或者 拨打24小时美牙热线0591-88681777免费咨询,福州爱尚贝臣口腔门诊部有限公司医生为您解答!
矫正地包天需要多少钱? 专家说牙齿地包天不仅影响外在形象,而且对于健康也不利,因此尽早矫正好。不过,矫正地包天的费用并不统一,这是因为每个人牙齿畸形的程度不同,适合的牙齿矫正方法也不一样,因此费用也不同。总结来说,地包天矫正价格和以下因素都有关:
1、牙齿矫正方法:目前矫正牙齿的方法很多,严重的需要通过外科正畸的方法,另外,钢丝矫正、隐形矫正、美容冠等都可以矫正牙齿,不同的方法矫正效果不一样,收费自然也不同。
2、个人牙齿情况:每个人的牙齿畸形程度不同,一般来说,牙齿畸形越严重,矫正程度越大,收费也相对高一些。。>>>文字看累了?点击直接咨询医生吧!
3、选择的口腔医院和医生:不同的口腔医院由于各方面条件都不一样,设备也不同,收费标准不同。而不同的口腔医生更由于本人和经验不一样,矫正效果不一样,收费也不同。
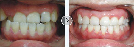
牙齿的情况影响到我们的外貌,牙齿畸形的患者生活会受大很大的影响。所以地包天患者要及时矫正,恢复美丽和健康。地包天是比较严重的口腔畸形,使用时代天使矫正能大幅增加疗效。
时代天使隐形矫治采用计算机辅助三维诊断、设计、制作等系统和新口腔正畸,为您度身定做一系列透明矫治器,只需每2周更换一副,就可以让原来的"老虎牙"、"龅牙"等令您难堪的牙齿在不被人发觉的情况下得到彻底的矫正和改观。还有不明白的,点击免费咨询,或者拨打24小时贝臣美牙热线0591-88681777咨询,福州爱尚贝臣口腔门诊部有限公司医生为您解答!


