地包天矫正后有哪些注意事项
发布日期:2018-03-25 次浏览
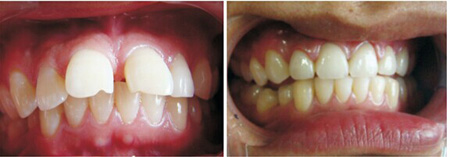
地包天就是牙齿的下牙比上牙要突出,而且也是一种常见的牙齿畸形。地包天对人们危害很大的,不仅会影响到人们外在美观,还会影响到人们的身体健康。所以人们如果患上地包天,一定要及时去医院进行矫正,地包天矫正后还有一些要注意的。做好地包天矫正后的注意事项能够确保地包天矫正后的效果。>>>点击免费咨询,或者 拨打24小时美牙热线0591-88681777免费咨询,福州爱尚贝臣口腔门诊部有限公司医生为您解答!
地包天矫正后有哪些注意事项?主要有下面几点:
1、地包天牙齿矫正后7天之内尽量避免手术部位沾水。保证手术部位清洁,防止感染,如果伤口上有血痂或分泌物,可用无菌盐水擦拭。
2、地包天牙齿矫正手术后,可对局部伤口加压包扎,或用冰袋冷敷,但压力不宜大,术后一旦发生出血不止和严重血肿,应及时到医院复诊。术后应有安静、舒适的环境休养。手术当日,伤口会有些疼痛,但随着时间的推移,会逐渐减轻。>>>文字看累了?点击直接咨询医生吧!
3、地包天牙齿矫正后不吃硬壳食物,比如:骨类食物、蟹、坚果类等。这样可以防止因饮食不当而导致矫正器的附件松脱,以避免产生不必要的伤害。
4、地包天牙齿矫正后保持口腔清洁,牙齿矫正器是靠粘结剂粘结在牙齿上,通过矫正器件给牙齿施力,来达到理想的牙齿移动。良好的矫正效果不但需要医生精湛的技艺,更需要患者的密切配合。
如果您是想要接受地包天治疗的患者,建议您要多多了解牙齿矫正后的注意事项。同时也提醒您要选择合适的牙齿矫正。福州爱尚贝臣口腔门诊部有限公司为广大患者推荐时代天使隐形矫正。
时代天使隐形矫治采用计算机辅助三维诊断、设计、制作等系统和新口腔正畸,为您度身定做一系列透明矫治器,只需每2周更换一副,就可以让原来的"老虎牙"、"龅牙"等令您难堪的牙齿在不被人发觉的情况下得到彻底的矫正和改观。还有不明白的,点击免费咨询,或者拨打24小时贝臣美牙热线0591-88681777咨询,福州爱尚贝臣口腔门诊部有限公司医生为您解答!


