龅牙的矫正好要多久
发布日期:2018-01-12 次浏览
龅牙的矫治必须根据患者牙齿的拥挤程度、患者年龄、健康状祝、面颌发育和面部肌肉张力来决定龅牙矫正时间的长短。事实上龅牙矫正具体要多长时间是不固定的,不同的人所发生的龅牙病变程度也不同,矫正的难度不同,自然是所需的时间不同。>>>点击免费咨询,或者 拨打24小时美牙热线0591-88681777免费咨询,福州爱尚贝臣口腔门诊部有限公司医生为您解答!
一般龅牙矫正需要1年半-2年左右,对于儿童龅牙矫正相对成人牙齿矫正时间相对较短,而且效果好,当然对于较复杂的龅牙矫正时间会相对长点,因此龅牙矫正时间因人而异,需根据具体情况而定。
12-14岁是儿童牙齿矫正的佳时期,由于这个时期的牙齿替换已完成,龅牙在这个时期进行矫治,不但矫正时间短,而且效果好。
随着如今医疗的发展,牙齿矫正已经没有时间限制,只是成人牙齿矫正相对儿童时间长点、难度大点,但只要到正规专业的口腔医院矫正,时间不但会缩短,而且效果和儿童的一样好。
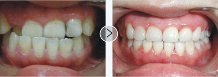
案例分析:小王今年30岁了,还做着单身贵族,从事的销售工作,也因为形象上问题,难以取得事业上的突破!>>>文字看累了?点击直接咨询医生吧!
几经斟酌,小王决定从“齿”改变形象,彻底远离“龅牙哥”的称号。由于有同事在我院接受过牙齿矫正,效果非常好,因此小王也慕名带来了这里接受矫正龅牙。
接诊医生结合小王的年龄、职业、求美心理等方面考虑,建议他采用全透明隐形正畸矫正龅牙。一年多后,小王再看看镜子中的自己,露出了一口整齐洁白的牙齿,终于可以去尽情拥抱新世界了!
全透明隐形正畸有什么好呢?全透明隐形正畸的无托槽隐形矫正适合具有以下问题的人适用,包括个别牙错位、牙列拥挤、牙齿不整齐、牙间隙、前牙反合(地包天、凹面型)、前牙深覆盖(龅牙、凸面型)、前牙深覆合(或深覆盖)、下颌短缩面型、双颌前突、口唇前突和前牙开合(窄长面型)。还有希望进行个性化设计的人比较适合适用无托槽隐形矫正。
全透明隐形正畸是很美观的,而且几乎完全隐形。您将在别人毫无察觉中完成牙齿矫正,解决了许多患者对矫正牙齿的美观顾虑。全透明隐形正畸很舒适,由于没有传统意义上的托槽、钢丝等矫正装置,矫正过程不再痛苦。对牙周组织的刺激及不适感低。
全透明隐形正畸比较方便,因为可自行摘戴,不影响社交、进食、运动等。同时复诊次数减少,节约您的宝贵时间。全透明隐形正畸的清洁很方便,口腔卫生容易维护,托槽容易拆卸,所以很容易清洁,也不必担心牙龈炎、牙齿脱矿、变色等问题。全透明隐形正畸的矫正过程很便捷,短而有效的治疗疗程,一般治疗约9-12月即可完成。还有不明白的,点击免费咨询,或者拨打24小时贝臣美牙热线0591-88681777咨询,福州爱尚贝臣口腔门诊部有限公司医生为您解答!


