牙齿矫正要多少钱呢
发布日期:2017-12-23 次浏览
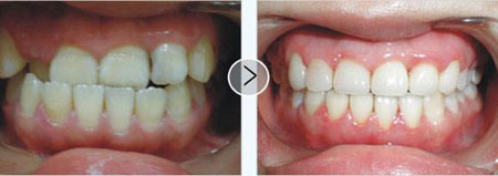
小孩子的成长历程一直是我们做家长所关心的,孩子的牙齿也不例外。如果你发现了自己的孩子牙齿出现了畸形问题,你是否也会十分担心呢?相信每个做家长的都会如此。医师告诉我们,儿童时期是矫正牙齿的较佳年龄段,效果更佳,所以我们应该把握时机。那么小孩牙齿矫正需要多少钱呢?关于这个问题,我们就通过医师来了解下。>>>点击免费咨询,或者 拨打24小时美牙热线0591-88681777免费咨询,福州爱尚贝臣口腔门诊部有限公司医生为您解答!
医师指出,儿童牙齿矫正的价格是受到许多因素影响的,所以并不固定。但是值得一提的是一般情况下在儿童时期矫正牙齿,矫正价格会比成年人低得多。所以发现孩子牙齿畸形,及时矫正是关键。

【牙齿矫正费用影响因素】
1、儿童自身情况
儿童牙齿矫正费用的高低取决于患者想要达到的治疗目标。这一点限定了牙齿矫正治疗的难度和疗程。不难理解,儿童牙齿矫正费用与难度和疗程是呈正比关系的。
2、地区差异
儿童牙齿矫正费用“因地而异”。在不同地区会有城乡差异,在不同级别的医院会有收费标准的级别差异;在不同性质的医院中,医院的收费标准会略有浮动等等。患者应在正畸治疗开始前向主治医生了解总体费用的大致情况,有备而治。>>>文字看累了?点击直接咨询医生吧!
3、矫正方式
儿童牙齿矫正费用与患者所使用的矫正方法和矫正器有关。牙齿矫正医生会根据患者的错颌情况选择合理的牙齿矫正方法,不同的牙齿矫正方法费用不同,含量高的牙齿矫正费用也高;然后医生再结合患者的身体情况,经济情况为其选择较合适的矫治器。一般传统金属矫正器的价格在几万左右,而隐形矫正则在几万以上左右。
4、儿童合作
患者在治疗过程中的合作程度直接影响儿童牙齿矫正疗程的长短。如果患者配合好,牙齿矫正治疗时间短,儿童牙齿矫正费用自然会降低。
医师提示:孩子牙齿矫正,建议广大家长朋友带孩子前往正规带医院进行矫正治疗,以达到较良好的矫正效果!更是为孩子的未来成长负责!
现在的小孩子不像以前,他们对于外表也是很注意的,传统的金属牙套矫正已经不能满足孩子的需要,而隐形牙齿矫正,则可以给孩子龅牙矫正的同时,又不会让孩子因为戴上牙套而被嘲笑。
隐形矫治采用先进的牙颌三维数字化及快速成形,结合现代正畸理念,为您独身定做一系列透明矫治器,矫治器透明、光滑、隐蔽性好,患者戴用时美观、舒适,很大地减少了矫治过程中矫治器对口腔引起的并发症。同时,口腔卫生易于维护,不影响进食、刷牙、社交活动等日常生活。透明牙套可以在不被人发觉的情况下得到有效的矫正和改变。还有不明白的,点击免费咨询,或者拨打24小时贝臣美牙热线0591-88681777咨询,福州爱尚贝臣口腔门诊部有限公司医生为您解答!

