小孩牙齿矫正较合适的年龄
发布日期:2017-10-26 次浏览
想要具体了解小孩牙齿矫正较合适的年龄?
点击【在线咨询】直接问医生!方便!快捷!我们都知道很多人都有牙齿不齐,而且这种现象往往是从小时候就开始的,不少小孩子的牙齿都不太整齐,有的家长们想要及时对这种问题进行矫正,但是不知道是否一定要等乳牙换完后才能矫正呢?
直接与医院在线医师一对一通话,方便!快捷!了解详情就医指导。
小孩牙齿不齐的成因和习惯的养成
为什么小孩会出现牙齿不齐?这跟遗传和后天的一些不良习惯都有关系。牙齿矫正医生提醒家长,应该留心观察孩子口腔习惯,如发现孩子有咬铅笔、吮指、咬唇、吐舌等不良习惯,要及时纠正。因为早期采取一些简单的措施可以预防错颌畸形。
文字看累了,点击在线咨询医生!方便!快捷!
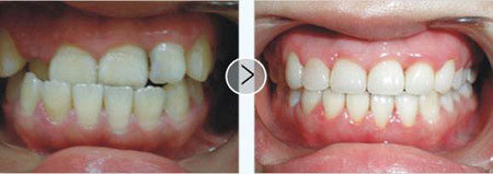
如果发现孩子已经有了一些牙齿不齐的现象,那就要及时去解决了。牙齿矫正要趁早,这是颠扑不破的规律。一般在替牙期矫正的比较多,在替牙阶段如果发现孩子有咬唇、伸舌、前伸下颌等不良习惯,以及面型异常和牙齿排列异常等情况,应及时到医院找正畸专业医师检查,确定是牙性、功能性还是骨性错颌畸形,明确治疗方案。
早点对儿童牙齿不齐进行检查和矫正非常有必要
小孩矫正牙齿,一定要等乳牙换完后才能矫正吗?并非如此,有的问题要在更早的时间去解决。例如地包天,“地包天”能在换牙前就过来矫治,千万不要存有侥幸心理,否则,换牙后还可能会继续乳牙时期的“地包天”,到那会发展成了换牙期骨性“地包天” 后,程度可就要比乳牙期严重多了,而且矫治起来也会更加困难。
更多问题点击咨询医生!方便!快捷!
之所以建议早点对小孩牙齿进行矫正,是因为儿童牙齿矫正的速度更快,这是比成年人牙齿矫正更有优势的方面。随着人们对牙齿健康越来越关注,咨询小孩牙齿问题的家长也越来越多。小孩牙齿畸形是必须要矫正的,否则对小孩面部骨骼和消化都会造成很大影响。
可见,不同的牙齿问题,有不同的特点,矫正的时间也会不一样,我们要根据具体的问题来判断,但是有一条原则就是:早发现,早解决,如果不能判断哪个时期解决好,就要早点看医生,并勤于观察。



