有虫牙怎么办
发布日期:2017-10-23 次浏览
想要具体了解有虫牙怎么办?
点击【在线咨询】直接问医生!方便!快捷!现在口腔的疾病有很多种,虫牙是口腔疾病中的一种,现在很多人都存在着蛀牙的问题,那么有虫牙怎么办?今天我们请到了医生,为我们介绍下有虫牙怎么办这个问题。
医生说,虫牙并不是真的有虫子,而是牙齿被蛀蚀的结果。蛀牙是需要及时治疗的,不及时治疗的话是会有很多危害的。
直接与医院在线医师一对一通话,方便!快捷!了解详情就医指导。
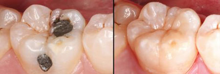
虫牙的治疗方法
根管治疗的方法:这种方法就是医生通过激光找到牙齿被蛀的部分,然后用钻头在虫牙的上面打孔,钻出一条通道来。然后用刮、擦等方式将腐坏的部位清理干净,用填充物将牙齿的空洞填满。这样就能够使虫牙的细菌有效的去除,因此不仅可以控制病毒的扩散,同时还可以保护牙齿周边组织的健康。
文字看累了,点击在线咨询医生!方便!快捷!
烤瓷牙术的治疗方法:当牙齿被蛀坏的程度已经到达牙髓或是牙根附近了,那么只有将整颗虫牙拔除后在患处消毒杀菌然后再根据患者需要,做成某种材质的烤瓷牙,再镶在澳门百家乐拔除的虫牙处。所以,这种方法是迫不得已的时候才采用的。现在比较好的是美容冠,它可以不拔牙、牙齿坚固,多年后不出现黑线等,深受广大市民的喜爱。
虫牙的危害
首先是,当虫牙入侵到牙本质的时候,那么遇到冷热酸甜的时候就会感到牙齿疼痛,在这个阶段如果不及时的治疗的话,虫牙会逐渐的恶化,引起牙髓炎,这个时候就会出现自发的疼痛,还可能引发侧头痛。
其次是,当炎症发展到牙根方向就会引起根尖周炎牙根部肿痛,牙齿松动,严重者会导致面部肿胀、发烧、张口受限,细菌入血甚至可引起菌血症而危及生命。乳牙得了虫牙不及时治疗,可逐渐发展为严重的根尖周炎,会引起发育不良,如果乳牙因龋坏早失,不但会影响恒牙的如期萌出,还会导致恒牙的排列紊乱,引起牙颌畸形。是,恒牙因蛀虫破坏早失,缺牙数多,会影响嚼碎食物,必然会增加胃肠负担。甚至是严重虫牙蛀坏导致的残冠、残根刺激周围的软组织等,引起溃疡糜烂,导致癌变。
更多问题点击咨询医生!方便!快捷!
已上就是有虫牙怎么办的介绍,您看了本文应该对您有帮助了,如果你觉得我们的文章并没有解释得很清楚,或有其他问题,您可以点击我们的在线咨询医生,医院的医生会给你一个专业的,详细的解答,并给你一个满意的答复!



