拔牙后应注意什么
发布日期:2017-10-23 次浏览
想要具体了解拔牙后应注意什么?
点击【在线咨询】直接问医生!方便!快捷!当牙齿发生病变后,如果到了一定的程度就需要进行拔牙。拔牙虽然只是个小手术,但如果不注意护理,创口也会发生出血、炎症、肿痛等症状,严重的还会造成感染或出血不止等后果。那么,拔牙后应注意什么呢?
直接与医院在线医师一对一通话,方便!快捷!了解详情就医指导。
医生告诉您拔牙后应注意什么:
一、拔牙后应该咬紧放置在伤口处的纱布卷,半小时至短时间后再吐出。患者拔牙当天唾液中混有血色,这是属正常现象。
二、拔牙后若有活动性出血,且出血量较多,患者不必紧张,应短时间复诊,请医生妥善处理。一般性出血,可在出血的地方放置明胶海绵或鞣酸粉、云南白药等,然后再咬住纱布卷短时间,出血即可停止。如果经过这些处理外出血仍然不止,那就要进一步查清原因,再进行处理。
三、不要用舌尖舐或用手指触摸伤口,更不要用未经消毒的纸、棉花等塞入伤口,以免伤口感染化脓。若出现牙槽窝血块感染,多发生在术后3-4天,血块变成灰褐色,伴有腐败恶臭样的分泌物,牙槽骨壁失去血块的覆盖而暴露出来,疼痛比较明显,医学上称这种现象为“干槽症”,应短时间进行治疗。
文字看累了,点击在线咨询医生!方便!快捷!
四、拔牙当日不刷牙、不漱口、不吸烟,1-2日内吃些软食,食物温度不宜过高,使伤口局部得到休息。激烈的漱口和刷牙容易漱掉或碰掉血块,引起出血。
五、拔牙后略有疼痛这是正常现象,可服用适量止痛药。
六、比较复杂的拔牙,伤口缝线一般可在5-6天拆除,术后可适量服用止痛、消炎药物。
拔牙后的饮食问题:
做完手术就可以说话,但还是少说话。吃饭以流食为主,注意营养的平衡,不要吃需要咀嚼的时候,当然如果只把一颗牙那情况要好很多。注意口腔卫生,饭后必须用漱口水漱口。经常刷牙,千万不要吃硬东西,不然你会第二次找医生。
更多问题点击咨询医生!方便!快捷!
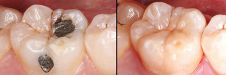
除智齿外,拔牙后应及时补牙,微创补牙术:
拔牙后应注意什么?微创补牙通过使用专业器械,通过计算机控制微创麻醉注射仪,根据患者感觉疼痛程度调节镇痛效果,在患者相对舒适的状态下去除骨组织、分割牙齿,拔除患牙,感觉轻微。采取高性能的树脂材料,依靠化学粘结作用与牙体组织结合,不必制备特殊的固位洞型,颜色与牙体,可以达到美观效果。微创补牙手术损伤较小,既有利于补牙创口的愈合,保持牙槽骨完整性又减轻了患者的疼痛感和畏惧感。



