龋齿补牙多少钱
发布日期:2017-10-09 次浏览
想要具体了解龋齿补牙多少钱?
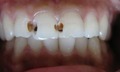
点击【在线咨询】直接问医生!方便!快捷!龋齿俗称虫牙,是人类发病率很高的一种牙齿疾病。卫生组织已将龋齿与肿瘤、心血管疾病并列为人类的三大重点防御的疾病。和后两种疾病比起来龋齿早期的治疗具有痛苦小、花钱少的特点,很多人得了龋齿都去进行补牙,那么,龋齿补牙要多少钱。
直接与医院在线医师一对一通话,方便!快捷!了解详情就医指导。
医生指出补牙的价格受多种因素的影响,随着这些因素的波动而波动。在几十上百不等。一般影响龋齿补牙多少钱受以下几个因素的影响。
一,牙齿龋坏的程度。一般正规的牙科补牙如果用相同的材料,都会根据龋洞的大小来决定补牙的价格。一般初龋补牙只需要快速,如果初龋没有及时的治疗发展成深龋治疗周期就会变长,价格也就会比较贵。医生提醒:发现自己有龋齿一定要早发现早治疗。
二,与补牙的材料有关。补牙的材料有多种,较常见的有树脂类和银汞合金类。树脂类的材料一般用于前牙的修补,色泽白几乎和真牙很接近。前牙与后牙的材料还是有些区别的。
点这里,直接预约医生!方便快捷!
三,其他因素,相对于地域差异,以及物价水平的限制,这里不做过多的阐述.
医生提醒:龋齿补牙虽是个小手术但也有不少失败的案例,医生建议龋齿补牙一定要到正规的牙科医院,有的牙科医院会针对患者的不同情况有不同的诊疗环境。
微创补牙术:
微创补牙采取高性能的树脂材料,依靠化学粘结作用与牙体组织结合,不必制备特殊的固位洞型,颜色与牙体,可以达到美观效果。微创补牙手术损伤较小,既有利于补牙创口的愈合,保持牙槽骨完整性又减轻了患者的疼痛感和畏惧感。
如果您还有什么疑问的话,欢迎咨询在线医生,医生会为您提供详细的解答,并给您合理的建议,欢迎咨询预约!


