牙齿缺了一块能补吗
发布日期:2017-10-09 次浏览
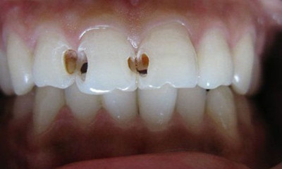
想要具体了解牙齿缺了一块能补吗?
点击【在线咨询】直接问医生!方便!快捷!生活中牙齿缺失严重影响了我们的形象,牙齿的缺失使得我们不能露出甜美自信的笑容,有时甚至影响了我们的工作和生活,那么牙齿缺了一块可以补吗?
直接与医院在线医师一对一通话,方便!快捷!了解详情就医指导。
牙齿缺了一块能补吗?
医生对此问题的回答是:当然可以,随着科学的增加,补牙的方法层出不穷,补牙的也在不断的提高,牙科医生的比以往要良好很多。
医生根据近的补牙的案例分析:较近较受青睐的补牙方法是二氧化锆美容冠修复。医生介绍,二氧化锆美容冠术,是目前牙齿缺损、缺失的修复较有效的修复方法之一。二氧化锆美容冠牙齿美容是流行于当今的一种新兴牙齿美容术,在传统烤瓷牙的基础上强调牙齿的美容效果,对错位牙、畸形牙的临床冠部分施以专业手段,用二氧化锆美容冠加以修复。具有美牙不拔牙,微创,时间短,牙齿坚固,多年后牙龈不会出现黑线等优点,从而达到美牙效果。
二氧化锆美容冠四大优势:
1,高效快速
二氧化锆美容冠术拥有较先进的口腔设备以及经验较丰富的二氧化锆美容冠制作医生,靓丽牙齿只需要短时间,就可以轻松拥有!
2,较久耐用
二氧化锆美容冠采用矿物医用的氧化锆,其密度强度均高,同时具有抗破裂性和强韧的固化性能,从而二氧化锆美容冠具有很高的耐用性特点!
点这里,直接预约医生!方便快捷!
3,透光性十分良好
不会影响大家以后做CT和MRI之类的治疗,也不怕过机场安检的时候被报警。
4,解决多种问题牙
二氧化锆美容冠是四环素牙、氟斑牙、变色牙、锥心牙、釉齿发育不全大面积龋洞无法充填、牙错位。



