什么情况需要补牙
发布日期:2017-10-05 次浏览
想要具体了解什么情况需要补牙?
点击【在线咨询】直接问医生!方便!快捷!补牙对于大家来说都不陌生了,由于现代人生活方式,患有龋齿的人越来越多,由于补牙的观念都深入人心,人们都知道如果患了龋齿,就需要补牙,可在什么情况下是需要补牙呢?
直接与医院在线医师一对一通话,方便!快捷!了解详情就医指导。
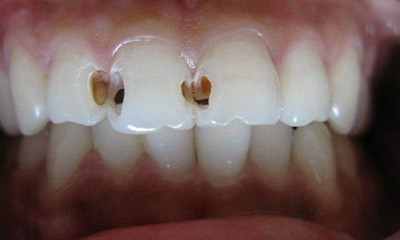
什么情况下需要补牙
一、蛀牙:一定要及时的进行补牙,这样才能对我们的口腔健康有一个。补牙,填平龋洞,恢复牙的原来 形态。 因此,早期治疗龋齿是很重要的,早期治疗,既方便又能及时控制龋齿的发展。
二、缺牙:牙齿因为的原因而掉落、脱落或者是拔除了的情况下,需要补牙。因为缺牙后长时期没有补牙,与缺牙间隙处相对的天然牙,就会逐渐向缺牙间隙伸长,使缺牙间隙的垂直高度减小,造成镶义齿时制作人工牙的困难。
点这里,直接预约医生!方便快捷!
补牙的材料
银汞充填:优点是便宜,耐磨。缺点是由于其颜色为金属色,不能用于前牙;由于银汞合金收缩,与牙齿间没有粘接力,补牙的边缘不密合,形成微渗漏,长期使用可能会在银汞和牙齿交界处再次发生虫牙。目前发达国家已经逐渐淘汰了此种修复方法。天津医科大学口腔医院牙体牙髓科陈阵
光固化树脂充填:优点是与牙齿颜色接近,前后牙都可以使用。缺点是由于在光照变硬的过程中收缩,只能应用于较小的虫牙的补牙。如果虫牙的洞很大,或者涉及到了牙齿的邻面,从长远考虑,树脂补牙就不是那么合适了。容易破损,折裂,导致再发虫牙或者塞牙等。有的活髓牙由于树脂和粘接剂的刺激也可能产生术后敏感。目前发达国家主要用在前牙的微小缺损上。
嵌体修复:目前发达国家对后牙缺损的修复大多采用此法。如很大的牙齿虫牙的缺损,银汞和树脂都不有效。比较有效的修复方法是用嵌体来恢复缺损的牙齿。它可以很好的恢复牙齿的外形和功能。尤其是对虫牙破坏到牙齿邻面的牙洞,有效效果更佳,由于嵌体制作是在体外,制作出的嵌体邻面光滑不易附着生物膜、食物残渣,减少了继发龋坏的可能。尤其是对大面积破坏的牙体可以采用高嵌体修复而无需再做冠修复,避免了冠边缘对牙龈的刺激,保护了牙周组织的健康。
嵌体按照材料的分类可以分为金属合金嵌体、树脂嵌体、瓷嵌体等三种。
微创补牙术
微创补牙通过使用专业器械,通过计算机控制微创麻醉注射仪,根据患者感觉疼痛程度调节镇痛效果,在患者相对舒适的状态下去除骨组织、分割牙齿,拔除患牙,感觉轻微。采取高性能的树脂材料,依靠化学粘结作用与牙体组织结合,不必制备特殊的固位洞型,颜色与牙体,可以达到美观效果。微创补牙手术损伤较小,既有利于补牙创口的愈合,保持牙槽骨完整性又减轻了患者的疼痛感和畏惧感。
如果您还有什么疑问的话,欢迎咨询在线医生,医生会为您提供详细的解答,并给您合理的建议,欢迎咨询预约!


