牙洞怎么治疗
发布日期:2017-10-05 次浏览
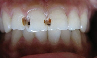
想要具体了解牙洞怎么治疗?
点击【在线咨询】直接问医生!方便!快捷!蛀牙上面会因为细菌的侵蚀而留下一个个牙洞,牙洞越深越大,则蛀牙问题越严重,如果不去治疗,那么当牙疼起来那可是要命的,牙洞怎么治疗?下面请医生介绍一下。
直接与医院在线医师一对一通话,方便!快捷!了解详情就医指导。
牙洞怎么治疗
医生介绍:目前补牙是较佳的修复牙洞的方法,不过对于补牙材料上的选择,我们一定要慎重。
补牙材料应当具有无毒、耐磨、有抗压强度、充填后体积不改变、与窝洞密合、不被唾液腐蚀或溶解、操作简便及色泽美观等性能。但目前尚无有效符合上述性能的补牙材料,只能依据牙齿缺损部位、受力大小和美观的要求等选用较为好的补牙材料。
点这里,直接预约医生!方便快捷!
补牙充填,隔离唾液,消毒窝洞,调配补牙材料填入窝洞中,即时雕刻外形,要注意除去超过咬合面过高的部分,以免造成医源性的咬合创伤。邻面不能留有补牙材料的悬突,以防刺激牙龈引起炎症。针对牙齿有小洞这样的牙齿缺损情况,其实通过补牙进行牙齿修复就是不错的方法。
微创补牙术
福州爱尚贝臣口腔门诊部有限公司的微创补牙通过使用专业器械,通过计算机控制微创麻醉注射仪,根据患者感觉疼痛程度调节镇痛效果,在患者相对舒适的状态下去除骨组织、分割牙齿,拔除患牙,感觉轻微。采取高性能的树脂材料,依靠化学粘结作用与牙体组织结合,不必制备特殊的固位洞型,颜色与牙体,可以达到美观效果。微创补牙手术损伤较小,既有利于补牙创口的愈合,保持牙槽骨完整性又减轻了患者的疼痛感和畏惧感。
如果您还有什么疑问的话,欢迎咨询在线医生,医生会为您提供详细的解答,并给您合理的建议,欢迎咨询预约!


