牙洞怎么修复
发布日期:2017-10-02 次浏览
想要具体了解牙洞怎么修复?
点击【在线咨询】直接问医生!方便!快捷!牙洞不仅影响正常的牙齿形态,还严重影响了牙齿咀嚼的功能,很多人想去进行牙洞的修复,但是对牙洞修复很迷茫,不知道牙洞该如何修复,今天就让医生为大家介绍一下:牙洞怎么修复。
直接与医院在线医师一对一通话,方便!快捷!了解详情就医指导。
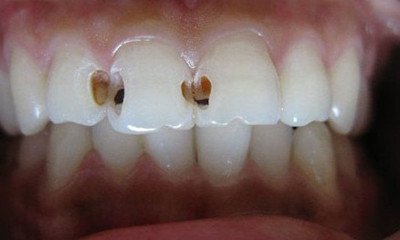
医生指出:牙洞的形成是由于蛀牙、缺损、外伤等造成牙体组织缺损造成的。这时您就需要补牙来修补了。用于修补的物质叫补牙材料。当病变已波及牙髓,甚至引起根尖周病时,应先治疗牙髓,再行补牙。
点这里,直接预约医生!方便快捷!
补牙-----牙洞较好的修复方法
医生指出:补牙是常见的牙齿修复的方式,补牙不仅可以恢复牙齿的外观,还能够增强牙齿的咀嚼功能,如果是蛀牙刚开始出现,牙齿及时的修补可以把蛀牙扼杀在萌芽的状态中。
补牙疼吗-----打造补牙的微创时代
福州爱尚贝臣口腔门诊部有限公司的微创补牙通过使用专业器械,通过计算机控制微创麻醉注射仪,根据患者感觉疼痛程度调节镇痛效果,在患者相对舒适的状态下去除骨组织、分割牙齿,拔除患牙,感觉轻微。微创补牙手术损伤较小,既有利于补牙创口的愈合,保持牙槽骨完整性又减轻了患者的疼痛感和畏惧感。
如果您还有什么疑问的话,欢迎咨询在线医生,医生会为您提供详细的解答,并给您合理的建议,欢迎咨询预约!


