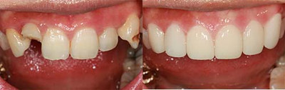
门牙掉了一小块
发布日期:2017-10-01 次浏览
想要具体了解门牙掉了一小块?
点击【在线咨询】直接问医生!方便!快捷!门牙长在我们牙齿的较前端,如果缺了一小块的话肯定会对自己的形象造成比较大的影响,让自己难以在别人面前抬起头,不管是自拍还是与人留影之后,总是要用美图秀秀修饰一番才敢发到朋友圈,那么,这种尴尬到底如何解决呢?
直接与医院在线医师一对一通话,方便!快捷!了解详情就医指导。
门牙缺损的情况可以分为几个方面,所应采取的办法也是各不相同的,我们需要先做一个检查,看看缺损的部分是哪里,有没有伤到牙髓,才能采取较合适的办法。
如果说缺损的部分并不大,可以采用较简单的补牙来解决。补牙材料有很多,其中主流的是复合树脂。复合树脂的美观性很显著,它与真牙的颜色接近,耐磨性与牙本质差不多,使用时间很长。
点这里,直接预约医生!方便快捷!
如果门牙缺损涉及到牙髓,那可能需要根管治疗。根管治疗的目的是清除死髓,阻止细菌对牙齿的进一步侵蚀。根管治疗的过程也并非固定,如果是前牙,就需要每次治疗20分钟左右,如果是后牙就需要治疗40分钟左右。
如果缺块比较明显,难以用补牙简单掩盖,可以选择超薄瓷贴面或仿生全瓷冠的方式:
超薄瓷贴面适用于牙齿缺损虽不严重,但是呈不连续几块的情况。超薄瓷贴面的磨牙量相对较少,对牙龈的刺激很小,如果是由经验丰富的医生操作,贴面边缘密合,并严格抛光,可以保持很好的牙龈健康状态,使用多年不脱落。
仿生全瓷冠适用于牙齿基本功能受损的情况。它的范围很广泛,包括形态、结构、排列或者颜色等异常牙体,无需拔牙就可达到牙体修复和美白的双重功效,受到众多患者信赖。仿生全瓷冠用临床验证强度高达1400Mpa的材料制备,比真牙更坚固耐用。
在正规的口腔医院,医生会根据缺牙的情况采取较合适的办法,能用简单程序解决就不用复杂手段,能用补牙完成就不选择全牙修复,而在一些小诊所,患者往往会连自己的病情轻重都不知道,就被引导着做了看似“高级”的美牙方式,而那些发方式并不一定适合每个人,如果操作失败还要进行二期甚至多次修复,给自己带来很大麻烦,所以,我们对自己的健康一定要认真负责,选择放心的医院。



