龅牙怎么矫正
发布日期:2017-09-25 次浏览
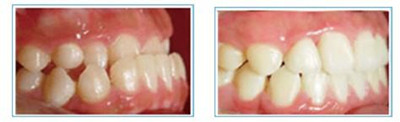
想要具体了解龅牙怎么矫正?
点击【在线咨询】直接问医生!方便!快捷!现如今社会竞争压力越来越大,很多招聘企业也越来越重视个人形象,于是笑露八齿成为很多公共行业应聘员工的基础要求,但是如果您拥有一口龅牙请问您还敢笑露八齿,那么龅牙是不是就没有办法矫正了呢?答案是否定的,那么龅牙怎么矫正呢?医生这就带着我们一起了解。
直接与医院在线医师一对一通话,方便!快捷!了解详情就医指导。
【龅牙的症状以及产生原因】
龅牙在医学专业上实质是上颌前突畸形或双颌前突畸形,一般不伴有严重的功能障碍,但很影响美观,患者求治的目的主要是为了改善容貌。龅牙病因及发病机制尚未阐明,可能有先天遗传因素和后天不良习惯。该病具有明显的种族发病特征和家族聚集倾向;但后天的不良习惯,如:口呼吸、吐舌、咬下唇和成人吮吸习惯等也可能是造成该病的原因。
可以说,龅牙对人们影响很大,龅牙患者常常不敢与人交流、不敢笑、很不自信,因而顾主任建议龅牙患者有必要进行治疗。对此,医生提出目前矫正龅牙的常见方法:
点这里,直接预约医生!方便快捷!
一、隐形正畸:
无钢丝、无托槽隐形矫治术,不需要托槽和钢丝,采用一系列隐形矫治器,通过在牙齿上施加适当的、可控制的力来使牙齿逐步移位,终达到预期的矫治效果。其透明的、可以自行摘戴的特点,使矫治过程几乎在旁人难察觉中完成,不影响日常生活和社交。同时,隐形矫治采用的是有效个性化的设计理念,通过三维诊断软件,主诊医生可以在矫治前为演示整个矫正过程,方便医患沟通。并且材料是由已通过FDA认证的弹性透明高分子材料制成,安全,感觉舒适。
二、美牙冠术:
美牙冠是目前龅牙矫正较被看重的一种方法。“美牙冠”牙齿美容术是流行于当今的一种新兴牙齿美容术,在传统烤瓷牙的基础上强调牙齿的美容效果,对错位牙、畸形牙的临床部分施以多重专业术,用美牙冠加以修复。具有美牙不拔牙、微创、时间短、牙齿坚固、多年后牙齿不出现黑线等优点,从而达到美牙效果。
【二氧化锆美容冠术】
二氧化锆美容冠术具有良好半透明外观、密度和强度很高,可以解决其他美容冠系统不能做长桥的问题。其生物相容性好,优于多种金属合金。包括黄金,而且对牙龈更舒适,很适合应用于口腔,避免了金属在口腔内产生的过敏、刺激、腐蚀等不良反应。二氧化锆美容冠术具有更好密合的边缘、降低牙龈炎症现象、对X线无阻挡等特点,在临床上可得到较久的修复效果。
如果您还有什么疑问的话,欢迎咨询在线医生,医生会为您提供详细的解答,并给您合理的建议,欢迎咨询预约!


