牙齿反颌怎么办
发布日期:2017-09-19 次浏览
想要具体了解牙齿反颌怎么办?
点击【在线咨询】直接问医生!方便!快捷!在激烈的竞争环境下我们必须得考虑,而外在的形象也是一方面,这样牙齿就变得很重要了,就像我们常见的反颌,那严重的影响到面部的美观,那么牙齿反颌怎么办呢?下面就请医生为您介绍下牙齿反颌怎么办吧。
直接与医院在线医师一对一通话,方便!快捷!了解详情就医指导。
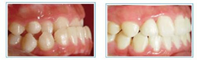
什么是牙齿反颌?
医生说,牙齿反颌也就是我们通常所说的“地包天”,就是在上下牙齿咬颌的时候,本应该是上前牙咬在下前牙的外面,如果是下前牙咬在上前牙的外面的话,就是我们今天介绍的牙齿反颌的情况。
牙齿反颌的危害
1、 影响咀嚼功能及口腔健康,主要表现为进食时间较正常人长,如果勉强加进速度,会加重胃肠负担,长时间下去,将会形成消化系统慢性疾病,影响全身的健康。
点这里,直接预约医生!方便快捷!
2、 妨碍颌骨的发育,影响美观,表现为面中部发育不足,从侧面看,面形呈月牙状脸,好似全口牙齿都已脱落后的老太太的面形,严重影响患者的容貌美观,有些人还因此造成心理障碍。
牙齿反颌怎么治疗
1、 正畸治疗
牙齿正畸的优点是矫正后保全了自身原有的牙齿,绝大多数患者都能藉此达到满意的效果 ,缺点就是治疗所需的时间比较长,要一到两年的样子,尤其是成人,不仅正畸时要戴矫正器, 正畸结束后还要戴较长时间的保持器,牙齿的大小和色素牙的颜色无改变。
2、 德国3D齿雕让快速拥有皓齿不再是梦
德国3D齿雕术是牙齿美容中的一种新型术,它吸取了多种美牙的长处,突破传统美容冠的弊端,将德国VITA比色术,微创术和口腔内窥镜数码定位有机结合起来。



