种植多颗牙齿多少钱
发布日期:2017-09-15 次浏览
想要具体了解种植多颗牙齿多少钱?
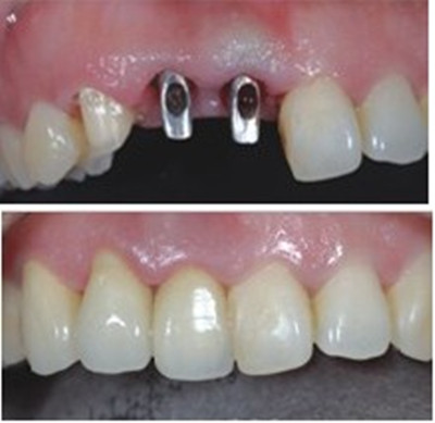
点击【在线咨询】直接问医生!方便!快捷!种植牙作为新的假牙修复方法,特点鲜明,可以针对牙齿的不同情况,进行个性化设计,受到了很多牙齿缺失者的喜欢。同时它舒适美观的优越性,更让对生活质量要求越来越高的爱美者所接受,种植牙需要多少钱与多个因素有关。
直接与医院在线医师一对一通话,方便!快捷!了解详情就医指导。
医生提醒,种植牙的价格虽然受很多因素的影响,但是较重要的是要选择一家好的医院进行治疗。
种植牙需要多少钱与地区有关
由于各地区的消费水平不同,医院的收费也就有差距。北京上海这样的一线城市,经济发展很快,医院的医疗设备也相对要先进很多,那么,种植牙齿费用也比较高。而像东北地区等,价格则明显要低很多。所以,爱美者所在的地区不同,种植牙需要多少钱也是不同的。
种植牙需要多少钱与种植牙材料有关
随着种植牙齿术的成熟,种植牙的材料也越来越多,有金属类、陶瓷类、复合材料等。爱美者可根据自己的牙齿情况和经济条件选择较适合自己的,材料不同,种植牙需要多少钱也就不同。
点这里,直接预约医生!方便快捷!
福州爱尚贝臣口腔门诊部有限公司开设的种植牙采用的种植术,生物相容性好,无毒质量保障,无磁性、更舒适,在体内稳定。湿润性好,不易附着有机物,能与人体有效相融,一旦植入很快能生长与人类牙齿成分相同的骨结合,不会产生排斥反应。
福州爱尚贝臣口腔门诊部有限公司以其先进的管理理念、专业的医疗科研水平、充裕的资金人才储备为依托,通过品牌连锁、模式导入和资源整合的方式,将成熟的医院管理理念和运作体系注入口腔医院。



