多颗牙缺失有什么危害
发布日期:2017-09-15 次浏览
想要具体了解多颗牙缺失有什么危害?
点击【在线咨询】直接问医生!方便!快捷!老人年纪大了难免会有多颗牙齿脱落,还有一些朋友由于牙周病也可导致牙齿脱落。单颗牙齿缺失有时候还可以掩饰,多颗牙齿就不能不管不问了,因而牙齿缺失一定要尽早的去镶上,免得给自己造成一定的伤害,那么多颗牙缺失究竟有什么危害呢?
直接与医院在线医师一对一通话,方便!快捷!了解详情就医指导。
牙齿缺失可造成多方面的影响,包括对齿关节,发音功能,甚至面部美观都会带来较大的影响,具体就来给大家做如下的介绍:
危害一、影响齿科关节,当牙齿缺失较多时,剩余牙齿倾斜、移位或向对侧伸长等现象,使咬合关系紊乱,阻碍了下颌骨向前伸或左右运动。有时因一侧缺牙,用另一侧咀嚼,形成偏侧咀嚼习惯,肌肉出现张力不平衡,长此下去肌肉会出现疲劳,髁突后移,关节盘水肿,关节区会感到不适,甚至出现疼痛、张不开口、关节弹响等症状,临床上称为颞下颌关节紊乱症。
危害二、影响发音功能牙齿与舌、唇、颊肌相互配合,控制着气流经过齿科的路线和流量,从而发出不同的声音。掉一两颗牙齿,对发音影响不大,可缺得多了,特别是前牙缺失或全部牙齿缺失时,说话既费力又不清楚。这是因为舌尖失去了原有的发音定位标志,气流经过的路线中少了一道控制的关口,所以说话听起来就像漏风一样。
点这里,直接预约医生!方便快捷!
危害三、影响美观造成面部变形脸型在人体美中占有重要的位置。多数人只知道眼睛对人的外貌很重要,却不知道,脸型的美观与谐调,是由完整的牙列来维持的。牙齿全部缺失后,由于上、下颌骨间失去了支持,而且牙槽骨或整个颌骨因缺乏正常咀嚼力量的刺激,将会逐渐蜕变、萎缩,造成下巴的长度变短,面颊部和周围肌肉松弛,唇、颊部内陷,口角下垂,面部变形及皱纹增多,整个人看起来要比同龄人老得多。
危害四、缺牙咀嚼连累消化系统在正常情况下,可当个别牙齿缺失或牙列缺失后,咀嚼效率随之降低甚至丧失,唾液分泌减少,胃肠蠕动减慢。食物还没未嚼碎就进入胃肠,消化系统的负担随之加重,不仅影响营养成分的吸收,严重的还会出现消化系统疾病。
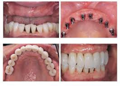
目前福州爱尚贝臣口腔门诊部有限公司较早引进的种植术采用微创术,是种植牙领先的“微创”术,让种植牙有效告别疼痛,种植过程缩短到较快短时间。手术操作简单快捷,患者可以在舒适、微创、轻松的状态下完成手术过程。种植牙更坚固,更耐用,更安全。
推荐——韩国 OSSTEM(奥齿泰)种植系统
奥齿泰是种植体生产商,在韩国口腔种植行业占有较大份额。产品先后经过众多临床手术,得到了很好的检验。多样化的系列产品选择,根据不同的口腔环境和外科位置变化,方便植入、高成功率,达到更好的使用效果。
韩国奥齿泰种植系统是将高档金属经过专业的电脑设计,制造成牙根型的圆柱体,经由手术植入牙床骨内,经过4到6个月后,当人工牙根与牙床骨密合后,再于人工牙根上制作假牙。种植效果好,相容性高不破坏自然牙,像真牙很接近的外观;具有一样的咀嚼和吞咽功能;与组织相容性好,它是活动假牙寿命的6-7倍。



