种植牙的价格多少
发布日期:2017-09-15 次浏览
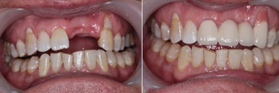
想要具体了解种植牙的价格多少?
点击【在线咨询】直接问医生!方便!快捷!缺牙做种植牙治疗的费用是按颗计算,医生指出,种一颗牙费用是少则几千多则上万,单价看似较高,但仔细一算,费用是很划算的。

第一,牙齿健康直接影响心情和整个身体的健康:
缺牙是不健康的,使用不好的假牙依然是不健康的。种植牙让缺牙者可以重新拥有“真牙”的感觉,使用效果也接近真牙,让口腔更健康,从而心情和整个身体也会进入良性循环。
第二,性价比高:
单价不是决定治疗的贵贱,而是要看整体性价比。种植牙耐用,寿命长,附加价值高(使用舒适、吃东西方便、促进口腔健康),这是其他的东西(昂贵的智能手机、每月的大餐、不必要的物件)无可类比的。
第三,想吃就吃:
民以食为天,其他假牙在咀嚼效果(吃东西)上和坚固耐用上都比不上种植牙。
为何种植牙价格不同?
不同的医院价格不同、不同种植体价格不同、看似差不多的种植牙也有价格区别,这是为什么呢?医生为您解答这些困扰。
医生指出,种植牙是一项缺牙治疗,这项想要实现治疗需要配置的设备和材料很多,想要达到更好的治疗效果,更是需要医生对种植体的熟悉(如同一个种植体如何在不同的患者口腔达到预期咀嚼效果)、需要高端的治疗设备(如何让手术治疗更准、让植入效果更好、手术过程中患者少受罪少受损伤)。
点这里,直接预约医生!方便快捷!
第一,种植牙中的种植体(人工牙根):
这是决定种植牙效果的关键,而想要做好一种品牌的种植体需要医生经验丰富、对该种植体有足够的临床经验,才能充分的把握种植体的治疗方案,让患者实现理想的治疗效果。
第二,医院设备和:
种植手术是齿科中要求严格、考验齿科机构设备和的治疗,需要如种植导板、三维口腔CT这样的先进设备和辅助性的设备材料及无菌手术环境。
福州爱尚贝臣口腔门诊部有限公司是微创种植牙研究基地,拥有三维计算机种植导板、国外进口的三维口腔CT和双波激光治疗仪等先进大型设备,还配有专研韩国和法国种植体的种植医生团队,及标准的无菌手术室,让您种牙更安全、大大提高种植成功率,让使用寿命更长。


