长虎牙怎么办
发布日期:2017-09-15 次浏览
想要具体了解长虎牙怎么办?
点击【在线咨询】直接问医生!方便!快捷!牙齿虎牙是在正常的现象。人类的尖牙又叫做虎牙,具有支撑口角,维持面容丰满的重大用途。但是虎牙的出现,有时候还是会给人带来影响。比如牙齿萌生错位,多生,等等。人为什么长虎牙,虎牙可以矫正拔除吗?
直接与医院在线医师一对一通话,方便!快捷!了解详情就医指导。
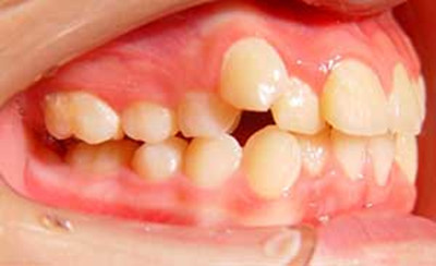
【什么是虎牙】
儿童6—7岁开始乳牙换恒牙,由于尖牙的换牙时间比其它牙齿晚,所以倘若乳尖牙生病或外伤过早脱落,它的位置就会被那些早萌出的邻恒牙倾斜过来霸占了。而等这颗恒尖牙姗姗来迟时,就只好委屈地被挤压到牙列的外面,像老虎的獠牙(尖齿),故被改名为“虎牙”。
医生提醒:孩子长了“虎牙”,确实比较难看,影响面容美观,但为了口腔健康和美容,切莫随便拔掉“虎牙”。
【虎牙患者要注意的事项】
1、成年患者在矫治之前通常存在牙周疾病,应对症进行全口牙齿洁治、刮治或牙周病手术,待牙周炎症控制之后才可以谨慎地开展矫正治疗。在矫正治疗过程中,移动牙齿要缓慢施以轻力,矫正力过强会加速牙槽骨吸收,导致牙齿明显松动,甚至脱落。牙周炎患者矫正过程需要定期的牙周维护,对于严重牙周炎患者,若牙槽骨吸收已接近根尖1/3区域,则不适宜矫正治疗。
点这里,直接预约医生!方便快捷!
2、牙根吸收是一个不容忽视的现象,临床上可以看见一些患者在矫正治疗前就因多种因素存在牙根吸收,若不仔细观察X线片加以判断,常常会导致诊断设计失误,影响矫正效果。矫正过程中使用过强的矫治力,牙齿过度移动超出其生理界限会引起牙根的严重吸收而影响牙齿的稳固性,曾作根管治疗的牙齿比一般正常牙容易形成牙根吸收。因此,牙齿移动时使用温和而较久的矫治力是避免牙根吸收的关键。
3、临床上有一些患者的牙根和牙槽骨有粘连而影响牙齿正常移动,有些埋伏牙因存在粘连会导致牵引失败。因此,对于此类患者矫正治疗前要进行仔细检查并事先与患者说明,并确定后备矫正计划,尽可能达到较佳矫正效果。
【虎牙的治疗方法】
如果虎牙是由于多生牙或乳尖牙滞留所造成的,应该拔除多生牙或滞留牙,好让尖牙长入牙列。若拔牙后的间隙和位置可以使尖牙排入牙列,就可用手指压尖牙向内、向下,每天3次,每次30下左右,帮助它进入牙列。指压之前,手必须洗干净,压的力量以牙感到有轻度压力而不痛,而且牙不松动为宜。
在少年时期,拔除先进双尖牙后的6—12个月内,尖牙多可自行调整排入牙列,此时辅以指压错位尖牙,能加速尖牙排入牙列。如多生牙长在两颗中切牙(门牙)之间,在拔除多生牙后应先用矫治器把中切牙、侧切牙向中间靠拢,让出间隙以排进尖牙。只有在有效无间隙排进尖牙,尖牙又有严重畸形、扭转、牙根向近中倾斜时,才考虑拔除“虎牙”。
如果您还有什么疑问的话,欢迎咨询在线医生,医生会为您提供详细的解答,并给您合理的建议,欢迎咨询预约!



