种植牙齿一颗要多少钱
发布日期:2017-09-14 次浏览
想要具体了解种植牙齿一颗要多少钱?
点击【在线咨询】直接问医生!方便!快捷!对于很多人来说,拥有一口健康的牙齿、好的食欲是非常重要的。然而由于年龄增长,外伤等原因,有些人出 现牙齿脱落缺损的问题,这给日常的饮食带来诸多不便,还会影响个人形象。那么,种植一颗牙齿需要多少钱呢?下面一起来了解下单颗种植牙的价格。
直接与医院在线医师一对一通话,方便!快捷!了解详情就医指导。
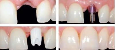
什么是种植牙?
种植牙并不是真的种上自然牙齿,而是将与人体骨质兼容性高的纯钛金属种植体植入到缺牙区的牙槽骨内,经 过 1~3 个月后,等到种植体和牙槽骨密合后,再在牙根上制作烤瓷、全瓷牙冠,从而打造出一颗完整的种植牙来,已被公认为缺牙的修复方式。
种植牙价格
医生介绍说,关于单颗牙齿的价格,全国从几千元到上万元不等,主要影响种植牙价格的因素有以 下几点:
原因一、种植牙品牌。常见种植牙品牌有美国Bicon种植系统、韩国奥齿泰种植系统、美国3I种植系统等,不同品牌,种植牙价格就有明显的差异。当然,好的种植系统,是保证手术成功的重要因素,专家建议爱美朋友选择好的品牌。
点这里,直接预约医生!方便快捷!
原因二、牙冠种类。牙冠种类也是影响种植牙价格的决定因素。常见牙冠有固定的、移动的 两种,金属的和非金属的,牙冠种类不同,价格各异,种植牙价格也不同。
原因三、种植牙医生、种植牙设备。医院的等级、医生的水平水准在一定程度上决定了种植 牙质量,同时也制约了种植牙价格。目前我院拥有美国Bicon种植系统、韩国奥齿泰种植系统、美国3I种植系统等多种 种植牙品牌,由国内外医生亲诊,保障种植牙效果。
为了更好的选择种植牙,朋友们除了要参考种植牙价格之外,还应当综合考虑以上各因素, 才能更好保障种植牙效果,以及种植牙后使用寿命。
种植牙的优势
1、稳固性好:由于种植牙的人工牙根深植于患者的牙槽组织,因而种植牙修复后的牙齿, 可以像真牙一样扎根在患者的口腔里,比传统假牙更加牢固、稳定性更好。
2、咀嚼效率高:种植牙和真牙的生物力学原理相同,咀嚼压力通过人工牙根(种植体)传递至牙槽骨,所以种植 牙能承受强大的力量,咀嚼效率比传统假牙有大幅度提高。
3、不涉及邻牙,对邻牙没有损伤:与传统方式相比,种植牙修复后的牙齿,不涉及邻牙、对邻牙没有损伤。
点这里,直接预约医生!方便快捷!
4、适应范围广:种植牙适用于单颗、多颗或全口缺牙,相对于传统假牙,种植牙咬合力接近真牙、不会发生龋 坏、牢固耐用,因此种植牙修复后的牙齿,有人类第三幅牙齿的美誉。
5、操作简单、相容性好:尤其是微创种植牙修复后的牙齿,通常在局部麻醉下即可进行,通常手术创伤小,患者术后即可进食,几乎舒适苦。
种植牙和活动假牙、烤瓷牙的区别
1、种植牙VS活动假牙:活动假牙是挂在相邻的健康牙齿上,长期下去会导致旁边健康牙齿松动,种植牙只需种 在拔除后的问题牙牙槽骨上,不需邻近牙齿的支撑,不会对健康牙齿造成影响。
2、种植牙VS烤瓷牙:做烤瓷牙需要将邻近的牙齿磨小,并且需要有健康的牙根才能做,种植牙不需要有牙根, 只需要有牙槽骨就可以了,在牙槽骨上植入种植体,戴上牙冠就可以了。



