牙齿缺失有什么危害
发布日期:2017-09-11 次浏览
想要具体了解牙齿缺失有什么危害?
点击【在线咨询】直接问医生!方便!快捷!很多的朋友都会有牙齿缺失的现象,但是很多的人都不太在意,尤其是里面的牙齿的缺失,其实牙齿缺失的危害还是有很多的。今天我们请到了医生为大家具体的介绍下牙齿缺失的危害。
直接与医院在线医师一对一通话,方便!快捷!了解详情就医指导。
牙齿缺失的危害有哪些呢?
医生说,很多的患者在牙齿缺失后并不愿意去医院进行治疗,其实牙齿缺失还是有很多的危害的,下面就给大家具体的介绍下吧。
1、 损伤咬颌:牙缺失而发生邻牙倾斜后,可改变上下牙正常的咬颌关系,一部分牙面降低,不能和对侧牙咬颌;另一部分牙面则因过高而产生过度的接触,形成过强的咬颌力量,临床上称作损伤性咬颌。这种情况可影响牙齿周围的支持组织,引起牙周病变。另外,过度升高的牙齿有时可能咬在对侧的牙龈上,使对侧的牙龈发生溃疡或出血。
点这里,直接预约医生!方便快捷!
2、 牙根暴露和牙根酸痛:牙齿如发生食物嵌塞,损伤性咬颌,牙位伸长或咀嚼功能不足时,可使牙龈和牙槽骨渐渐萎缩,致使牙根暴露,暴露的牙龈部位很敏感,遇到冷热就有酸痛的感觉。
3、 引起消化道的疾病:缺牙过多,特别是后面的磨牙缺少过多,则在咀嚼时就很难将食物嚼碎,粗糙的食物进入消化道后,增加了胃肠的负担,往往可引起消化道疾病,或营养吸收不良,影响身体健康。
4、 蛀牙:蛀牙是牙齿缺失较常见的危害之一,因为正常的牙齿排列被破坏,使得口腔污物经常的积聚,改变了口腔内的环境,助长了蛀牙的发生。
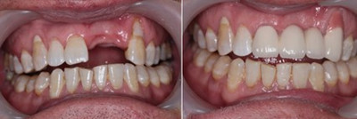
牙齿缺失怎么办呢?
德国美容冠还您牙齿的美观和功能,德国3D美容冠是从欧美较引入到中国国内的新兴美牙,它可将严峻的牙列不齐、牙缝过大、四环素牙、畸形牙、氟斑牙、变色牙、黄黑牙、牙齿缺失等牙齿缺陷进行再次美齿雕塑,具有美牙不拔牙,微痛苦,时间短,牙齿结实,多年后牙龈不会出现黑线,并能更好保护牙齿等长处,从而达到持久保障的美牙效果,是目前高上较专业较安全的美牙术。
如果您还有什么疑问的话,欢迎咨询在线医生,医生会为您提供详细的解答,并给您合理的建议,欢迎咨询预约!


