补牙与其它牙齿修复的区别
发布日期:2017-08-29 次浏览
想要具体了解补牙与其它牙齿修复的区别?
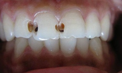
点击【在线咨询】直接问医生!方便!快捷!用人造物质修补牙体缺损的方法。用于修补的物质叫充填材料。凡因龋齿、楔状缺损、外伤等造成牙体组织缺损者都需要修补,以恢复其外形和功能。那么补牙与其它牙齿修复的区别有哪些?
直接与医院在线医师一对一通话,方便!快捷!了解详情就医指导。
与镶牙的区别
补牙是对病人牙齿的缺洞及硬组织缺损,用填充法修复,首先是将牙齿上的龋坏组织祛除并将洞按要求做成一定形状,也称牙体外科。然后是填充,使用专用的补牙材料将牙齿龋洞填充,恢复牙齿的形状和功能。
点这里,直接预约医生!方便快捷!
镶牙是指在牙齿拔除后,除第三磨牙和个别无功能牙外,为了恢复生理功能,应及时镶装,拔牙后须等拔牙窝长平才易镶复。这段时间须根具牙齿大小、牙根长短、牙槽窝有无感染,以及患者的健康状态、年龄等因素决定,一般需1-3个月。
与种植牙的区别
种植牙是牙体数目缺失,在牙槽骨内植入种植体,等其成活后,在其外再镶牙,类似于在牙槽骨内放入螺帽,在体外放螺丝的关系,补牙是自身牙体硬组织缺损,去腐干净后,用充填材料恢复牙体外形和功能,补完的牙还是自己的牙,种植牙种的牙虽然有类似于真牙的感觉,但不是自己本身的牙齿。



