怎么种植牙,种植牙的寿命一般会持续多久
发布日期:2017-08-28 次浏览
想要具体了解怎么种植牙,种植牙的寿命一般会持续多久?
点击【在线咨询】直接问医生!方便!快捷!种植牙被爱美人士美称为人类的第三副牙齿,已经慢慢取代假牙的地位。种植牙对于某些人来说,应该不会陌生,因为当人们的牙齿出现一些损害时,就会选择种植牙来弥补,但是怎么种植牙,种植牙的寿命是多久很多人都想知道答案。
直接与医院在线医师一对一通话,方便!快捷!了解详情就医指导。
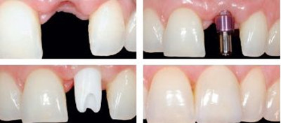
怎么种植牙?
第一步:种植术前应进行详细检查及准备,包括X线检查,必要的化验检查及牙周治疗等。
第二步:进行一期手术。即在牙床颌骨上钻出一个如种植体大小的洞,将种植体放在洞内。一般经过3至6个月的愈合时间,颌骨便会与种植体结合。
第三步:进行二期手术。即切开牙龈,安装愈合基台,一般经2至8周,牙龈便可完全愈合。
第四步:在种植体上安放上部义齿(假牙),完成治疗。一般来说,简单的口腔种植治疗需要3至6个月便可完成,而复杂情况。
种植牙的寿命一般会持续多久
固定修复镶固定牙的平均使用寿命为8年。据美国ADA口腔种植体临床标准,5年保存率95%,10年保存率为85%。也就是说口腔种植体的使用寿命应远超于传统的固定修复形式。在发达国家,经种植牙手术的人5年存留率在95%以上,10年存留率在90%左右。
点这里,直接预约医生!方便快捷!
但是这些数字都只反映了平均水平,每颗种植牙寿命的长短除了与治疗好坏有关外,还与患者日后的身体状况、使用及自我维护密切相关。而后者是决定种植牙寿命的决定性因素。
因此,接受了植牙的患者应严格按照医师的指导去做,包括自身清洁维护和定期的专业去除牙石及菌斑的复诊维护等,只要做好口腔卫生并定期检查,人工植体能维持的时间就可以和真牙一样久。



