专业种植义齿多少钱
发布日期:2017-08-27 次浏览
想要具体了解专业种植义齿多少钱?
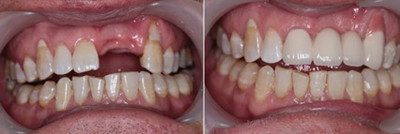
点击【在线咨询】直接问医生!方便!快捷!种植牙的新贵之处:如果有牙齿要拔除,常规修复方法都是先拔牙,待拔牙窝愈合2~3个月后开始镶牙。如果是前牙,这段时间难看就不用说了。即使做一个塑料的临时假牙,也不会好看到哪里,而且异物感明显,戴着很不舒服。
直接与医院在线医师一对一通话,方便!快捷!了解详情就医指导。
接下来就要选择是镶活动假牙还是固定假牙。活动假牙每天要摘戴,实在麻烦!戴着不舒服,还会暴露卡环(金属钩子),很影响美观。固定假牙虽然美观、舒适程度好得多,但需要对缺牙两侧的牙齿进行磨削,如果两侧的牙齿非常健康,把它们磨削是很可惜的。
点这里,直接预约医生!方便快捷!
种植牙像固定假牙一样美观、舒适,同时不需要磨削相邻的健康牙,因此是个两全选择。有时还可以在拔牙同时进行种植,这样就不存在缺牙的时间,基本不影响社交活动。是否适于即刻种植,需医师根据具体情况而定。
专业种植义齿多少钱?很多人对才镶牙的价格存大很大的疑惑,为什么在同一个城市,镶牙的价格从几十到几千的都有,怎么会有这么大的差距呢?
我们知道,镶牙是对牙齿缺损、牙齿缺失进行适当的修复,根据镶牙的固位方式,镶牙可以分为活动义齿和固定义齿两种。这样,选择不同的镶牙方式,先造会成了镶牙价格上的差别。另外,每个人的口腔缺损程度以及牙齿缺失数量也都不相同,也会造成镶牙时的修复难度不一,从而引起价格上的差异。
其次是镶牙机构的选择不同,镶牙的价格也有着区别,一般来说正规、专业的牙科医院,其镶牙价格比外边小的牙科诊所会贵一些,但质量及性能更为保障。



