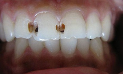
补牙后出现牙痛是什么原因
发布日期:2017-08-25 次浏览
想要具体了解补牙后出现牙痛是什么原因?
点击【在线咨询】直接问医生!方便!快捷!现在有很多患者在进行补牙之后,还会出现牙痛。那么补牙后出现牙痛是什么原因?对于这个问题,下面就由医生为大家解答,希望大家了解之后能有效解决牙痛。
直接与医院在线医师一对一通话,方便!快捷!了解详情就医指导。
补牙后出现牙痛是什么原因
因治疗需要,对牙髓进行失活(俗称杀神经),在封失活药后的当天或次日因为药物作用有可能出现牙痛,但疼痛不会很剧烈并且不会持续很长时间。因为在补牙制备洞形的过程中或消毒药物刺激牙髓所致,可能出现短时的冷热刺激痛,此类情况不需作特殊处理,1~2日后一般可自行恢复。
点这里,直接预约医生!方便快捷!
龋洞较深,用的衬垫材料太薄,不能隔断银汞合金传导的冷热刺激,而出现冷热刺激痛的症状。这就需要加厚垫底材料后再作充填。
补牙后近期出现刺激痛或自发痛的原因可能是充填材料中的某些化学物质刺激牙髓或根尖组织所致,也可能是牙髓失活不全所致。
远期出现疼痛的原因常为继发性龋并发牙髓炎,应视具体情况进行牙髓安抚或其他牙髓治疗。如果近期出现咬合痛,多半是充填材料太高,咬合时有早接触引起。经过调服数日即可恢复正常。



