虎牙该不该拔除
发布日期:2017-08-21 次浏览
想要具体了解虎牙该不该拔除?
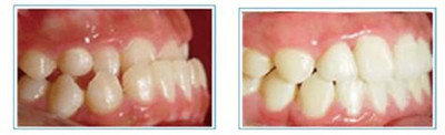
点击【在线咨询】直接问医生!方便!快捷!虎牙是指唇侧错位的尖牙,它突出于牙弓之外。由于其牙冠大、牙根长,所以当它突出支起嘴唇时就显得特别难看。但 “虎牙”决不能随便拔除,因为上颌尖牙在口腔中起着其他牙无法代替的作用。
直接与医院在线医师一对一通话,方便!快捷!了解详情就医指导。
很多孩子因为乳牙过早缺失,所以在长虎牙的时候,就容易出现这样的现象,不少家长带着孩子上医院,要求拔掉。那么拔虎牙好不好呢?
医生特别强调,两侧虎牙承担着人一辈子口腔里的承重、撕咬和力量传导作用,随意拔除可能导致食物残留缝隙以及影响脸部丰满度,不应贪图省事盲目拔除。所以建议那些想要带孩子去医院拔虎牙的家长朋友,好是听从医生的意见,给孩子矫正牙齿,而不是拔虎牙。
点这里,直接预约医生!方便快捷!
医生提醒:如果要想获得整齐的牙齿,那么,就好是从小就学着保护牙齿。但是你不幸已经长了虎牙,如果在12-18岁左右就可以通过正畸来完成。
如果是成年人已错过佳矫正期怎么办呢?
可以通过“美容冠”来矫正牙齿。美容冠矫正术就是对错位牙、畸形牙的临床冠部分施以专业手段,后用美容冠加以修复。具有美牙不拔牙,无痛苦,时间短等特点。美容冠矫正是专业的成人牙齿矫正方法,针对成人牙齿特点设计,不会反弹,终生都不会出现黑线,不拔除虎牙,既可以保证面部的美观,恢复牙齿的整齐排列。另外针对成人牙齿特点设计,不需要拔牙,不需要带牙套,矫正虎牙只需要7天。



