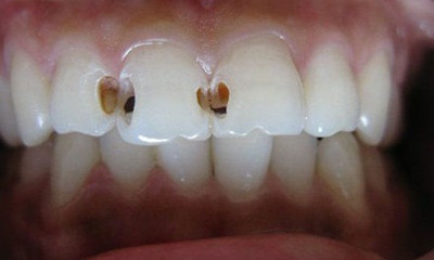
补牙后疼痛的原因
发布日期:2017-07-15 次浏览
想要具体了解补牙后疼痛的原因?
点击【在线咨询】直接问医生!方便!快捷!我们都知道补牙是治疗牙齿问题的好方法,因此备受大家关注,选择的人也比较多,不过很多人不知道补牙后为什么会疼痛?针对这个问题,下面医生为大家介绍下有关内容,希望可以帮助大家。
直接与医院在线医师一对一通话,方便!快捷!了解详情就医指导。
补牙后疼痛的原因
一是由于治疗需要,对牙髓进行失活(俗称杀死神经),在失活药后的当天或第二天政府因为药物作用可能会牙疼,但疼痛不是很严重的,将不会持续很长时间。
二是因为在制备洞或消毒药物的牙髓刺激引起的过程,可能短期内冷、热刺激疼痛,这种情况不需要特殊治疗,一般1~2天后可以恢复。
点这里,直接预约医生!方便快捷!
三龋洞太深,所用衬垫材料太薄,不能切断冷热刺激银汞合金传导,并出现冷热刺激痛症状。这需要在充填前加厚垫底材料。
补牙后牙齿的护理工作
1、遵照医生的建议,不用刚修复牙齿咀嚼食物和硬质材料。在一般要在第二或第三天,同侧咀嚼食物是可取的,以防止断齿和喂养了。
2、填充后,如果出现轻微的疼痛,可以自我观察,一些轻微的不适,疼痛会消失,白色的线。如果疼痛没有减少,相反进一步加重或咬合痛,痛,冷热刺激痛,夜间自发性疼痛,应及时到医院复诊,检查和治疗,以查明病因,消除疼痛。


