种植牙手术后该怎么护理
发布日期:2017-06-15 次浏览
想要具体了解种植牙手术后该怎么护理?
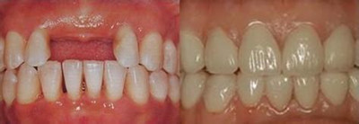
点击【在线咨询】直接问医生!方便!快捷!牙齿缺失带给患者的影响是非常大的,不仅影响美观,更重要的是也会直接影响口腔健康,因此选择种植牙手术的比较多,那么种植牙手术后如何护理呢?

种植牙手术优势:
1、功能强:能很好地恢复牙齿功能,咀嚼功能大大优于其他传统假牙。
2、不磨牙:依靠自身的人工牙根进行修复,不用磨旁边的健康牙齿,对牙齿没有任何伤害。
点这里,直接预约医生!方便快捷!
3、固位好:不使用传统镶牙的卡环或牙套,人工牙根牙槽骨紧密结合,像真牙一样扎根在口腔里,具有很强的固位力与稳定性。
4、美观:可以根据就诊者的脸型、其他牙齿的形状与颜色制作牙冠,达到整体协调和美观的效果。
5、舒适方便:不使用活动假牙必需的基托与卡环,没有异物感,非常舒适、方便,而且有利于保持口腔的清洁卫生。
种植牙手术后该怎么护理
1、术后24小时内不要刷牙及用清水,因过频漱口可以导致漱口渗血,但餐后可用漱口液漱口,防止口内食物残渣残留,术后2小时即可适量进食饮水,食物不要过热。这是种植牙的术后注意事项之一。
2、种植牙手术后常规使用抗生素。对于简单的种植手术(种植体数量少,手术时间短,患者身体恢复良好),术后给与口服抗生素,复杂的种植手术需要静脉应用抗生素,以预防感染。
3、由于患者体质及手术过程不同,可能会有不同程度的手术反应,有些患者反应较轻或无反应不适反应,有些则会出现局部水肿及瘀斑,一般持续3-5天左右。

