美容冠可以修复牙齿不齐吗
发布日期:2017-05-21 次浏览
想要具体了解美容冠可以修复牙齿不齐吗?
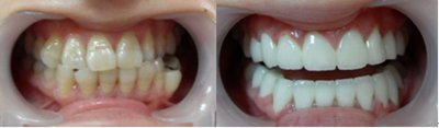
点击【在线咨询】直接问医生!方便!快捷!目前成人牙齿排列不齐的人是不断的增加,它的出现严重影响到了各位面部美貌与口腔健康的问题。很多人就想到了美容冠来修复牙齿。那么,美容冠可以修复成人牙齿排列不齐吗?

选择美容冠方法修复牙齿排列不齐的问题是可以的。美容冠是一种针对成人的快速矫正牙齿的治疗,对排列歪斜牙,缺牙,暴牙有快速彻底的矫正修复,只需要一周左右的时间,就能让爱牙人士的牙齿达到整齐美观洁白的效果。而且美牙冠色泽自然,抗压强度高。
点这里,直接预约医生!方便快捷!
另外与传统美容冠相比,近流行的3D仿生齿雕美容冠采用VITA比色方法,能根据患者不同的牙色,通过29个牙色层次化类比,使成形后的牙齿达到完美的色调统一,天然逼真,常年保持美丽天然的光泽。它比传统烤瓷牙更坚固,修复后的牙齿至少可以承受50公斤拉力。
美容冠矫正方式就是对错位牙、失败畸形牙的临床冠部分施以专业手段,后用美容冠加以修复。具有美牙不拔牙,痛苦少,时间短等特点。美容冠矫正是专业的成人牙齿矫正方法,针对成人牙齿特点设计,不会反弹,终生都不会出现黑线。
如果您还有什么疑问的话,欢迎咨询在线医生,医生会为您提供详细的解答,并给您合理的建议,欢迎咨询预约!

