全口牙齿种植贵不贵
发布日期:2017-05-21 次浏览
想要具体了解全口牙齿种植贵不贵?
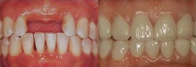
点击【在线咨询】直接问医生!方便!快捷!费用一直以来都是人们看病比较看重的问题,一颗牙的缺失,都影响了一定的美观程度,满口牙的缺失更不用说了。医师表示针对全口牙齿缺失的这种现象,选择种植牙是个不错的选择。

全口牙齿种植贵不贵?
1、通常来说,做全口种植牙价格贵吗主要取决于种植体,种植体主要有美国3I种植牙、德国费亚洲种植牙、瑞典诺贝尔种植牙、韩国奥齿泰种植牙,每种种植材料都是不同的,价格也不一样,适宜人群也有所区别,因此,需要根据自身的经济情况和口腔情况选择合适的种植牙系统。
点这里,直接预约医生!方便快捷!
2、地域因素也会影响全口种植牙的价格。由于各地经济发展水平和消费水平存在差异,做全口种植牙的价格也就自然不同了。
3、与受术者选择的医院及医生都有关系,选择专业的医院,并要求方法精湛的医生做全口种植牙,价格就较一般小诊所要高些。不仅仅包括种植体的价格,还有做种植牙之前的前行治疗和口腔其他疾病的治疗,还包括术后的修复等。其实做全口种植牙,价格并不是重要的,治疗效果才是重要的。
对于种植牙的价格影响因素比较多,不能够一概而论,不同的医院,不同的医师,不同的自身口腔情况都会影响种植牙的价格。不过医师提醒,只要去正规的整形医院进行种植牙,收费都是合理的。
如果您还有什么疑问的话,欢迎咨询在线医生,医生会为您提供详细的解答,并给您合理的建议,欢迎咨询预约!

