种植的假牙一般能用多久
发布日期:2017-02-27 次浏览
想要具体了解种植的假牙一般能用多久?
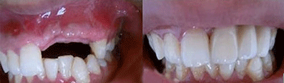
点击【在线咨询】直接问医生!方便!快捷!失牙是大家必然会遇到的事情,而年纪较大的人群失牙的可能性、失牙的颗数都会超过青年人,这是值得我们警惕的。而失牙之后,我们如果早点去做假牙,可以避免危害的发生,种植牙是当今牙齿修复的佼佼者,那么,种植的假牙一般能用多久?
直接与医院在线医师一对一通话,方便!快捷!了解详情就医指导。
大家都知道牙齿的重要性是难以替代的。缺牙不仅加重胃肠道负担,造成生理上的缺陷,带来心理上的损害,目前,在牙齿修复术中,种植假牙较好,已经成为当今缺牙镶牙的先进选择。
点这里,直接预约医生!方便快捷!
种植的假牙一般能用多久?这是大家都很关注的问题。我们知道,各类义齿都是有寿命的,真牙尚且有使用时间,遑论假牙。传统义齿的寿命较短,一般只有几年时间,而种植的假牙寿命很长,一般都在多年左右。而如果使用得当的话,良好的种植牙是可以使用多年的,这点已经得到了验证。
随着现代缺牙镶牙术的发展,种植牙也在不断地更新中。其中,先进的微创种植术在近年来已经发展的很成熟,目前新一代欧洲种植体就越来越个性化,越来越舒适在,德国西诺德牙科设备的辅助下,咬合关系有效建立,可有效到几毫米,出血少,降低了手术难度。即使是年龄比较大的朋友,也可以选择种植牙进行修复,几乎很难有问题。
种植牙要多长时间
种植假牙要选择正规的口腔医院,检查、手术、术后维护会更加重要,消毒环节层层把关,例如医保定点单位——福州爱尚贝臣口腔门诊部有限公司,使用微创种植体,采用国外进口麻醉术,真正达到微创效果,特别适合中老年人种植假牙。
还有不明白的,点击免费咨询,或者拨打24小时贝臣美牙热线0591-88681777咨询,福州爱尚贝臣口腔门诊部有限公司医生为您解答!


