种牙好还是镶牙好
发布日期:2017-02-20 次浏览
想要具体了解种牙好还是镶牙好?
点击【在线咨询】直接问医生!方便!快捷!我们对于镶牙肯定是有一些了解的,它是牙齿修复的统称,包括传统义齿修复和种牙修复两个方面,不过,在某些地区,镶牙也专指传统义齿修复,即活动假牙和烤瓷假牙。那么,种牙好还是镶牙好呢?这是大家都比较关心的问题。
直接与医院在线医师一对一通话,方便!快捷!了解详情就医指导。
传统镶牙术好不好
镶牙指的是通过人工义齿,对缺失的牙齿部位进行修复术。牙齿缺损、牙齿缺失是患者镶牙较常见的原因,会诱发龋病、牙周炎等疾病,需要及时进行镶牙。对于少数牙齿掉落,在剩下的牙条件较好时,可以使用传统方式镶牙,但是如果口腔内没有一颗牙齿,传统镶牙术就无能为力了,只能选择种植牙。种牙好还是镶牙好?从这个方面可见一斑。
点这里,直接预约医生!方便快捷!
镶牙好不好呢?传统镶牙填补了缺牙的位置,但是麻烦也很多。比如说,活动假牙的咀嚼能力很差,很难在口腔中固位,用来吃饭顶不上什么用,若是出现明显的疼痛、取戴困难等情况应及时找医生调整。而烤瓷假牙需要磨损两边的健康牙齿,修复一个缺牙要付出三个烤瓷牙的费用,也很难称之为良好的牙齿修复手段。
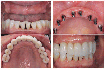
种牙和镶牙比好不好
种牙是近几年流行的一种新的牙齿修复方式,它既不是用基托等装置,也不需要磨损健康的好牙,而是使用纯钛种植体直接植入牙槽骨,因此对其他口腔组织没有预期外的危害,也不需要借助于邻牙存在,即使没有牙齿,也依然能够用全口种植牙进行修复,即使因牙龈萎缩造成牙槽骨高度的不足,也可以通过植骨来解决。
种牙好不好?种牙好还是镶牙好?这个问题其实已经没有的异议,种植牙能够跟真牙类似地使用,很坚固,色泽美观逼真,表面光滑,而且寿命可以长达多年,正规的口腔医院可以提供多年的质量质保协议。随着国内外的进步,有多种牙齿种植解决方案,可以适用于各种牙齿缺损或缺失的状况,已经成为当今牙齿修复领域的主流。
还有不明白的,点击免费咨询,或者拨打24小时贝臣美牙热线0591-88681777咨询,福州爱尚贝臣口腔门诊部有限公司医生为您解答!


