烤瓷牙修复牙齿需要多长时间
发布日期:2017-01-22 次浏览
想要具体了解烤瓷牙修复牙齿需要多长时间?
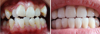
点击【在线咨询】直接问医生!方便!快捷!近年来随着生活节奏的加快,大多数人的牙齿都会存在一些问题影响美观和形象。而目前烤瓷牙是非常受欢迎的一种牙齿修复术,不仅修复效果逼真自然而且价格也比较经济。

烤瓷牙修复牙齿需要多长时间呢?
点这里,直接预约医生!方便快捷!
一、如果个人的牙齿状况非常的健康,需要烤瓷牙修复牙齿的时间就会比较短。例如只是想改变牙色问题,则需要一周左右时间制作烤瓷牙的金属內冠,然后对比并进行烤瓷,大概加起来总共需要一周以上。
二、如果个人牙齿有根尖病变,之后又没有经过完善的根管治疗,所以在做烤瓷牙修复牙齿前需要进行治疗,治疗完成后需要再观察一周,等情况稳定了才可以做烤瓷牙修复,因此需要的时间就会相对延长。
三、如果个人牙齿有严重缺损就不能直接做烤瓷牙修复,需要进行相应的根冠治疗好后先做桩,恢复做烤瓷牙所需要的形状,再进行烤瓷牙修复,所以时间也会相对延长,不过具体多久还得看具体情况而定。
牙齿修复术推荐——全瓷牙
全瓷牙是一种覆盖全部牙冠表面不含金属內冠的全瓷修复体,由于不是金属內冠,而是全瓷的內冠,因此更美观,其透明度、折光性与真牙近似,修复后的牙齿牙龈边缘表现更加自然,可达到不易于辨真的效果。其次全瓷牙修复牙齿具有无过敏、对牙齿周围组织无刺激,安全可靠,不会出现牙龈黑线问题的优点。此外全瓷牙的硬度与牙釉质近似,不会对颌牙造成磨损。因此选择用全瓷牙修复牙齿是不错的选择。
还有不明白的,点击免费咨询,或者拨打24小时贝臣美牙热线0591-88681777咨询,福州爱尚贝臣口腔门诊部有限公司医生为您解答!

