做钛合金烤瓷牙有什么危害吗
发布日期:2017-01-20 次浏览
想要具体了解做钛合金烤瓷牙有什么危害吗?
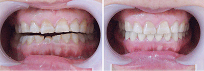
点击【在线咨询】直接问医生!方便!快捷!钛合金烤瓷牙是属于烤瓷牙的一种,因为烤瓷牙材料的金属成分包含铬、镍、钛三种混合组成。因为其经久耐用,经济实惠而广受关注。不过在有人担心,钛合金的金属成分会不会对身体有什么危害呢?
直接与医院在线医师一对一通话,方便!快捷!了解详情就医指导。
做钛合金烤瓷牙有什么危害吗?
医生表示,按照严格标准制作的钛合金烤瓷牙是对人体没有危害的。标准的钛合金烤瓷牙里的钛元素含量都普遍大于50%以上,而钛具有良好生物相容性,对人体无毒,同时有良好耐腐蚀性,是目前发展较好的金属材料。
点这里,直接预约医生!方便快捷!
钛合金烤瓷牙能保证与牙龈有良好的密合。可以说钛合金材料是比较适合人体健康的,对人体没有大的毒副作用。对于钛合金烤瓷牙危害一般是没有的,患者只要选择正规医院和专业医生进行治疗,就不用担心会出现问题。因为正规的口腔医院一般都会从以下几个方面来保障钛合金烤瓷牙的效果:
1、咀嚼舒适度。配戴钛合金烤瓷牙后,患者应尝试一般的咬合动作,感觉牙齿在咀嚼时的受力是否均匀,有无酸胀感。
2、光泽美观度。在自然光线下,钛合金烤瓷牙的颜色、光泽度等应与邻牙相似,要富有层次感和透明度,尤其是前牙,注意从牙切缘至牙颈部的色 调、光泽度应保持一致。四环素牙和氟斑牙患者则要检查烤瓷牙的色泽与牙龈、皮肤的颜色是否协调。
3、边缘密合性。钛合金烤瓷牙的后边缘应位于牙体与牙龈缘之间,并深入龈缘下0.5个毫米左右。从外表看烤瓷牙与牙龈连成一体,与天然牙无异。
4、形态与排列。钛合金烤瓷牙应具备天然牙的正常形态,其大小与邻牙相协调,并与对称的同名牙一致。前牙的切端应在牙弓弧线上,后牙的牙尖应位于天然牙尖的连线上。
医生再次强调:钛合金烤瓷牙有很好的的生物相容性,结合力较强,不会产生对人体有害的反应,而且钛合金烤瓷牙的色泽也较接近于真牙的颜色,外观较为逼真,从美观上改善了患者的形象。在材料标准的情况下,钛合金烤瓷牙是对人体没有危害的。
但是一定要注意选择专业正规的口腔医院进行,因为只有正规专业的医院才能保障材料的正规来源和钛合金烤瓷牙的钛含量符合安全标准,能有效保障烤瓷牙的效果,而且在设备、费用和服务等各方面都有相应的保障,以防牙齿受“二茬罪”。
还有不明白的,点击免费咨询,或者拨打24小时贝臣美牙热线0591-88681777咨询,福州爱尚贝臣口腔门诊部有限公司医生为您解答!


