牙齿稀疏是由哪些因素引起的
发布日期:2017-01-09 次浏览
想要具体了解牙齿稀疏是由哪些因素引起的?
点击【在线咨询】直接问医生!方便!快捷!身边其实很多的人都有牙齿稀疏的情况,不仅会影响进食,而且关键在进食后,无止境的剔牙会让人形象全无,陷入很尴尬的场面,所以很多人想要了解牙齿稀疏的原因,从而对症治疗。
直接与医院在线医师一对一通话,方便!快捷!了解详情就医指导。
那么牙齿稀疏是由哪些因素引起的?
医生表示,造成牙齿稀疏的原因有很多,而且儿童和成年人造成牙齿稀疏的原因各不相同,因此需要特别引起注意。一般情况下,可以分为以下几种情况:
1、首先,乳牙牙缝过大是造成牙齿稀疏的原因。儿童乳牙期、换牙期新长出门牙缝过宽是一种正常现象,将来的恒牙比乳牙个体大、数目多,恒牙更替完毕即可封闭空间,相反,乳牙的牙缝太过密合,将来宽大的恒牙长出来时空间不够,会造成牙列不整齐。
2、牙周炎患者的牙槽骨吸收,导致牙齿松动而引起间隙过大,多数成年人都患有牙周病,牙周病进展缓慢,多为牙龈炎发展而来,偶有刷牙出血外并无多少自觉症状,一般不容易引人注意,牙龈炎发展到一定程度即为牙周炎,此时可出现严重口腔异味,牙周反复脓肿,牙齿松动,牙缝越来越大,越来越稀疏,严重者牙齿脱落。
点这里,直接预约医生!方便快捷!
3、嵌塞食物也可能会造成牙齿稀疏,牙齿长期嵌塞食物,食物嵌入牙间隙,压迫牙龈组织,可发生牙龈乳头的炎症性煺缩,进而加大牙缝。
4、牙齿移位也是造成牙齿稀疏的原因之一,移位的牙齿埋伏于门牙牙根之间,从而导致门牙间隙过宽。
医生提醒,造成牙齿稀疏的原因比较多,而且针对各种牙齿稀疏的原因和复杂程度及患者的个人需求可能采取的修复方法也不尽相同。
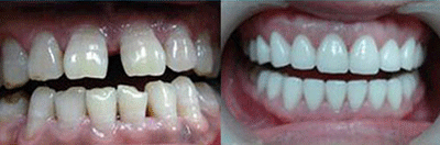
牙齿稀疏有哪些修复方法?
医生介绍,一般情况下,可以采取牙套修复的方式。牙套修复牙齿稀疏是比较传统的修复方法,将类似于牙膜的套子固定在牙齿上,然后通过不断对牙套施加压力,缩小牙缝间距,使牙齿回到整齐理想的状态。目前牙套的类型有很多,有传统的金属牙套,隐形牙套、陶瓷牙套等,大家可根据情况选择。
其次,如果是错过修复期的成年人还需要根据外科手术来进行修复。利用手术将牙槽骨打开,重新调整牙槽骨与牙颌面的关系,让牙齿变整齐紧密。这种方法方法完全高效,整个手术只需1小时左右就可完成。
还有不明白的,点击免费咨询,或者拨打24小时贝臣美牙热线0591-88681777咨询,福州爱尚贝臣口腔门诊部有限公司医生为您解答!


