牙齿错位拥挤怎么办
发布日期:2017-01-09 次浏览
想要具体了解牙齿错位拥挤怎么办?
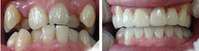
点击【在线咨询】直接问医生!方便!快捷!牙齿错位拥挤的牙齿畸形现象是非常常见的,错位拥挤的牙齿不仅会影响我们面部的美观,还容易造成食物的嵌塞,从而让牙齿不易清洁,致使口腔疾病的发生。那么牙齿错位拥挤怎么办?
医生介绍,牙齿错位拥挤会让牙齿排列不齐,而牙齿排列不齐不仅会让牙齿的美观及面部的美观受到影响,还会对身体的健康有影响。
牙齿错位拥挤就会导致牙齿难以清洁,口腔护理工作难以做好,从而诱发了各种口腔疾病。其次,牙齿错位拥挤还会使咀嚼食物的能力下降,进而影响并加重身体的消化系统工作,阻止身体对营养的吸收,危害身体的健康。因此,对于牙齿错位拥挤的现象,一定要进行及时矫正。
直接与医院在线医师一对一通话,方便!快捷!了解详情就医指导。
那么,牙齿错位拥挤如何矫正?
目前牙齿错位拥挤可以通过隐形正畸矫正,福州爱尚贝臣口腔门诊部有限公司隐形正畸是根据牙齿的生理移动力度慢慢使牙齿恢复正常位置,是一项非常好的牙齿矫正术。
福州爱尚贝臣口腔门诊部有限公司隐形正畸采用的是隐形的矫治器,可以在无钢丝和无托槽的状态下将错位拥挤牙齿矫正,让别人看不见你戴了矫治器,无形中使牙齿恢复齐整美丽。完全不影响美观,且可自行摘戴。
隐形正畸矫正牙齿错位拥挤可以从美观、健康、功能、稳定这四个方面全面提高牙齿矫正的效果,让牙齿矫正更加的舒适轻松、自然美丽。
点这里,直接预约医生!方便快捷!
隐形正畸术完美的将现代口腔医学、计算机辅助三维诊断、个性化设计及数字化成型术结合在一起。具有无钢丝、无托槽、美观、方便、安全、舒适、易清洁、自行摘戴等优点。采用隐形正畸矫正错位拥挤牙齿快速、有效,是大家矫正牙齿、美牙的首选方法。
错位牙齿矫正注意事项
错位牙齿矫正过程中,为了使牙齿矫正过程更加快速,效果更加美观。进食前,需将隐形矫治器摘下,且保证每天戴矫治器的时间不少于20小时。其次,做好口腔卫生的清洁工作,保持口腔卫生清洁干净。同时饮食上要注意避免吃坚硬类的食物,如骨头、见过类等。
错位牙齿矫正后,为了保证矫正效果稳定美观。需坚持戴半年或是一年左右的保持器,以保证矫正效果良好。
还有不明白的,点击免费咨询,或者拨打24小时贝臣美牙热线0591-88681777咨询,福州爱尚贝臣口腔门诊部有限公司医生为您解答!


