牙齿稀疏怎么解决
发布日期:2017-01-09 次浏览
想要具体了解牙齿稀疏怎么解决?
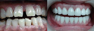
点击【在线咨询】直接问医生!方便!快捷!牙齿稀疏指的是牙齿之间出现的间隙较大,常表现为牙体偏小,牙齿缝隙过大。吃饭嚼东西经常会塞牙,说话牙齿透风,发音也跟着变得不清晰。那么牙齿稀疏的原因有哪些呢?
医生表示,牙齿稀疏是一种比较常见的牙齿情况,它的原因是先天缺牙,或是颌骨形态正常,颌骨过大,亦或是拔牙后不镶牙不补牙,从而导致牙齿稀疏。
直接与医院在线医师一对一通话,方便!快捷!了解详情就医指导。
那么牙齿稀疏怎么解决?
一、牙齿稀疏可以采用无托槽隐形矫正术解决,无托槽隐形矫正是牙齿矫正的一种,通过计算机辅助三维诊断、设计、制造等系统生产出一系列个性化的透明矫治器,牙齿稀疏者通过按时佩戴、定期更换来达到解决牙齿稀疏的目的,让牙齿变美观,排列紧密。无托槽隐形矫正是目前美观时尚方便的牙齿稀疏矫正方法。
点这里,直接预约医生!方便快捷!
二、牙齿稀疏可以采用美容冠修复解决,美容冠修复牙齿稀疏是通过采用专业手段进行牙齿修正,后戴上美容冠进行修复,达到解决牙齿稀疏的目的。美容冠具有不拔牙,无痛苦,牙齿坚固,多年后牙龈不出现黑线的优点,是解决牙齿稀疏问题的不错方法。
三、牙齿稀疏可以采用烤瓷牙,烤瓷牙是使用较多,较为理想的修复体,适用范围较广,可以用于牙齿缺失、缺损、牙齿稀疏、畸形牙等,修复外观形态不好看的牙齿,具有美牙不拔牙的优势,从功能和外形上同时修复牙齿。
注意,牙齿稀疏,不仅仅是外观影响上的问题,吃饭塞牙也只是其中一个较为浅显的表现,实际上更是一种持久性的口腔隐患。因此需要及早进行解决。
还有不明白的,点击免费咨询,或者拨打24小时贝臣美牙热线0591-88681777咨询,福州爱尚贝臣口腔门诊部有限公司医生为您解答!

